ファスト・パス演習

ID FP250  

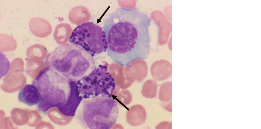
45歳の男性。健康診断で白血球増多を指摘され来院した。末梢血検査でHb13.5g/dL,白血球数25,000/μL,血小板数50万/μLである。末梢血塗抹標本を示す。
矢印に示す細胞が9%認められた。
この症例の検査結果で正しいのはどれか。2つ選べ

  • 1. 血清リゾチーム高値
  • 2. 染色体相互転座t(8;21)検出
  • 3. FISH法にてBCL2/IGH検出
  • 4. キメラ遺伝子BCR/ABL検出
  • 5. 好中球アルカリホスファターゼスコア低値
Copyright© KANEHARA & Co., LTD. All Rights Reserved.