ファスト・パス演習

ID FP078  

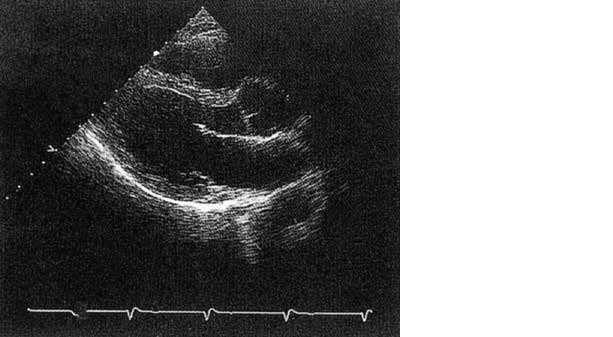
心臓超音波像を示す。正しいのはどれか。

  • 1. 心尖部長軸断層像である。
  • 2. Mモードである。
  • 3. 大動脈は描出されていない。
  • 4. 右房が描出されている。
  • 5. 心室拡張期である。
Copyright© KANEHARA & Co., LTD. All Rights Reserved.