ファスト・パス演習

ID FP079  

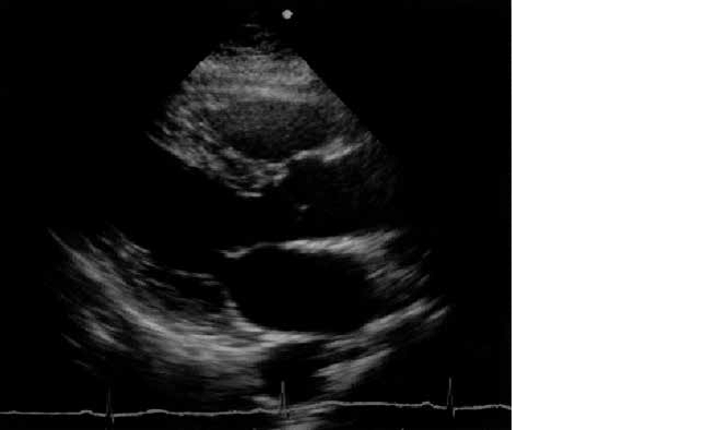
傍胸骨からの心エコー図を示す。
見られないのはどれか。

  • 1. 右 房
  • 2. 右 室
  • 3. 左 房
  • 4. 左 室
  • 5. 大動脈
Copyright© KANEHARA & Co., LTD. All Rights Reserved.