さん
MyPage
ログアウト
使い方ガイド
共通資料
マイページ
金原出版オンライントップ
ログアウト
購入
臨検国試onlineトップへ
ファスト・パス演習トップへ
一覧へ戻る
ファスト・パス演習
ID FP093
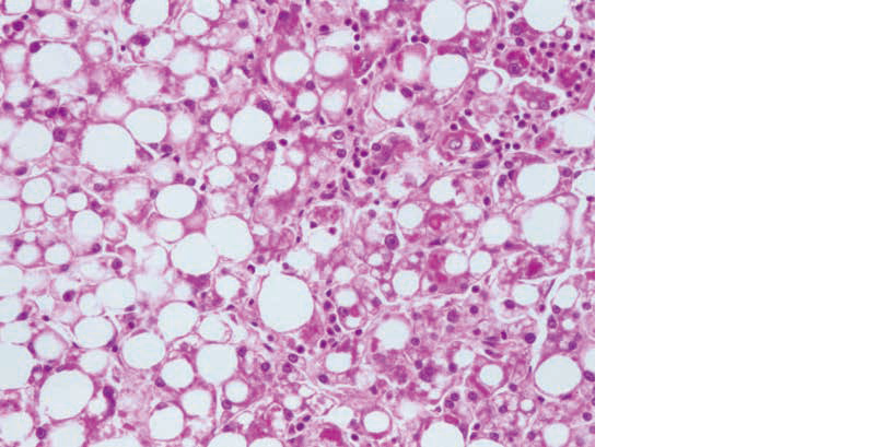
肝組織のH-E染色標本を示す。
該当する所見はどれか。
1. 肥 大
2. 変 性
3. 過形成
4. アポトーシス
5. ネクローシス
前へ
解答を見る
次へ