さん
MyPage
ログアウト
使い方ガイド
共通資料
マイページ
金原出版オンライントップ
ログアウト
購入
臨検国試onlineトップへ
ファスト・パス演習トップへ
一覧へ戻る
ファスト・パス演習
ID FP111
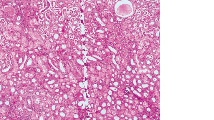
H-E染色標本を示す。
不良標本となった原因として考えられるのはどれか。
2つ選べ
。
1. 組織片に石灰化がある。
2. ミクロトーム刃に傷がある。
3. ミクロトームの滑走路が錆びている。
4. ミクロトーム刃の固定が不完全である。
5. パラフィンの浸透時間が不足している。
前へ
解答を見る
次へ