さん
MyPage
ログアウト
使い方ガイド
共通資料
マイページ
金原出版オンライントップ
ログアウト
購入
臨検国試onlineトップへ
ファスト・パス演習トップへ
一覧へ戻る
ファスト・パス演習
ID FP116
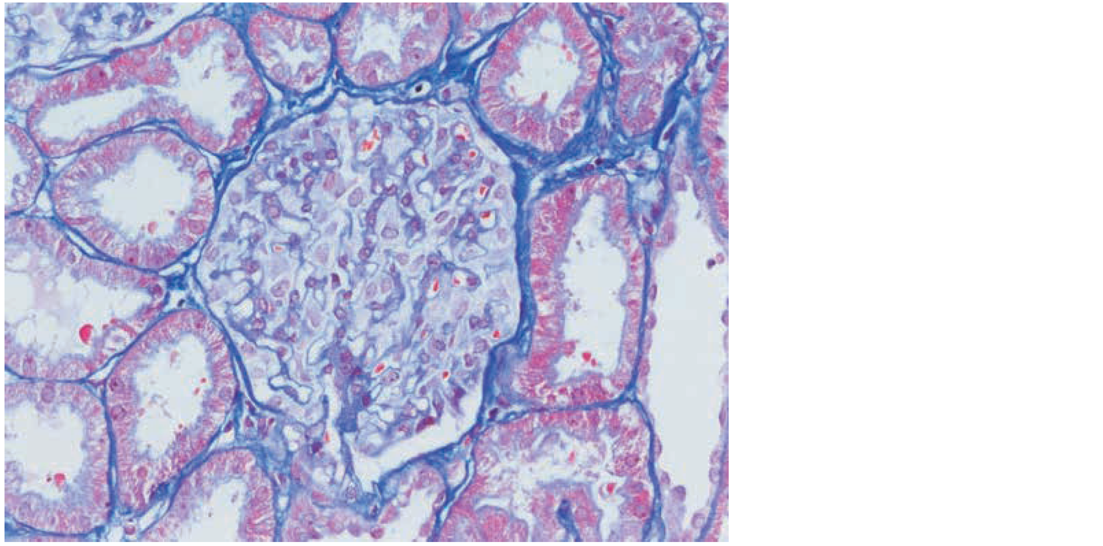
腎組織標本を示す。染色法はどれか。
1. elastica van Gieson染色
2. Masson trichrome染色
3. PAM染色
4. PAS染色
5. PTAH染色
前へ
解答を見る
次へ