ファスト・パス演習

ID FP117  

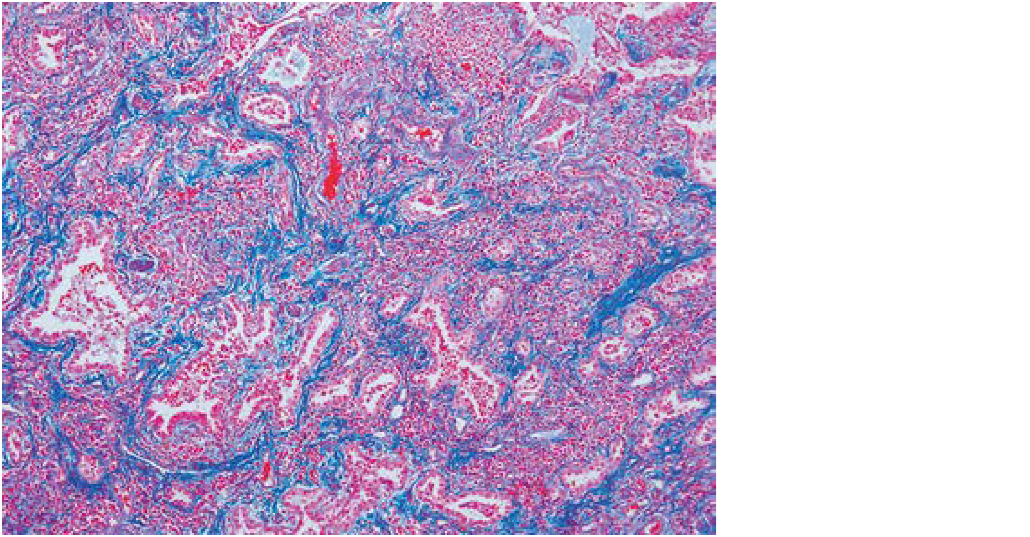
肺組織の特殊染色標本を示す。
染色法はどれか。

  • 1. ベルリン青染色
  • 2. アザン・マロリー染色
  • 3. クリューバー・バレラ染色
  • 4. エラスチカ・ワンギーソン染色
  • 5. ダイレクト・ファースト・スカーレット染色
Copyright© KANEHARA & Co., LTD. All Rights Reserved.