さん
MyPage
ログアウト
使い方ガイド
共通資料
マイページ
金原出版オンライントップ
ログアウト
購入
臨検国試onlineトップへ
ファスト・パス演習トップへ
一覧へ戻る
ファスト・パス演習
ID FP119
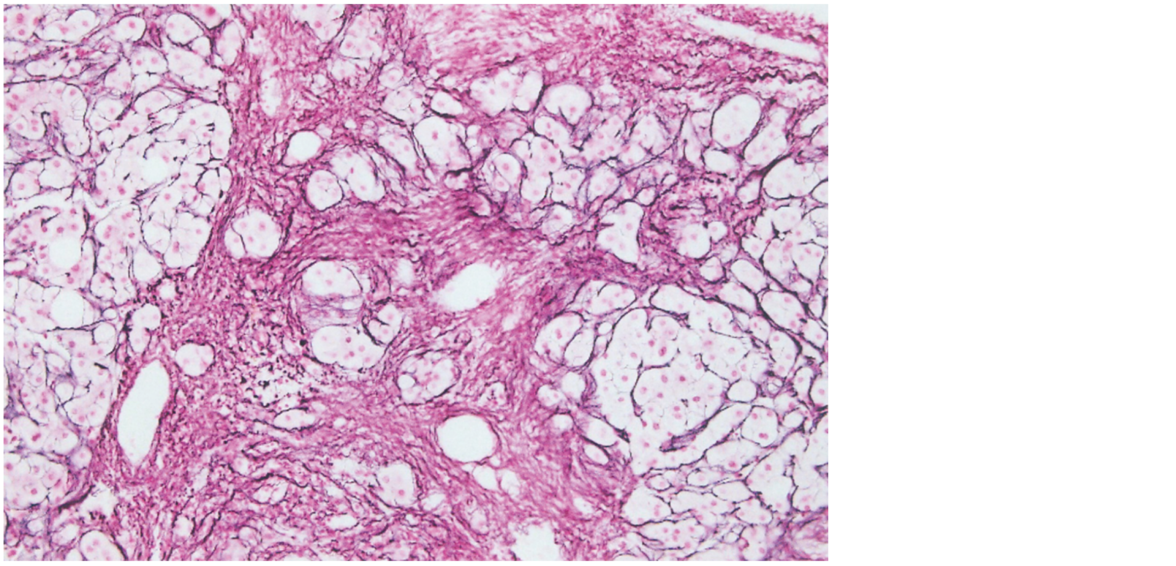
肝組織標本を示す。染色法はどれか。
1. アザン(azan)染色
2. エラスチカ・ワンギーソン(elastica van Gieson)染色
3. マッソン・トリクローム(Masson trichrome)染色
4. PTAH染色
5. 渡辺の鍍銀法
前へ
解答を見る
次へ