ファスト・パス演習

ID FP120  

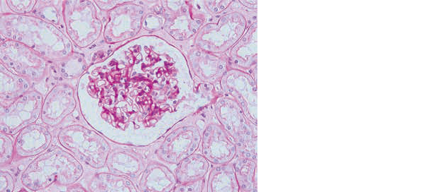
特殊染色標本を示す。
この臓器はどれか。

  • 1. 心 臓
  • 2. 肝 臓
  • 3. 膵 臓
  • 4. 脾 臓
  • 5. 腎 臓
Copyright© KANEHARA & Co., LTD. All Rights Reserved.