ファスト・パス演習

ID FP128  

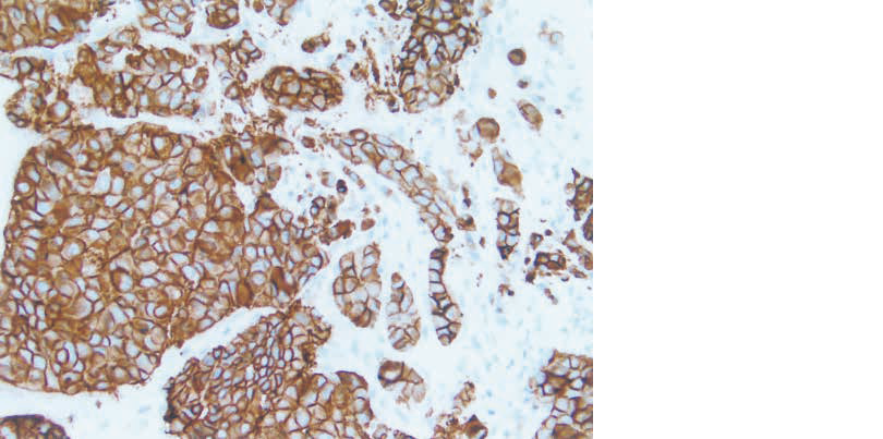
乳癌組織の免疫組織化学染色標本を示す。
使用された抗体はどれか。

  • 1. 抗p53抗体
  • 2. 抗Ki67抗体
  • 3. 抗HER2/neu抗体
  • 4. 抗エストロゲンレセプター〈ER〉抗体
  • 5. 抗プロゲステロンレセプター〈PgR〉抗体
Copyright© KANEHARA & Co., LTD. All Rights Reserved.