さん
MyPage
ログアウト
使い方ガイド
共通資料
マイページ
金原出版オンライントップ
ログアウト
購入
臨検国試onlineトップへ
ファスト・パス演習トップへ
一覧へ戻る
ファスト・パス演習
ID FP130
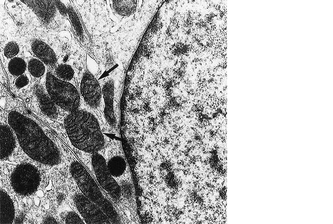
細胞の電子顕微鏡写真を示す。矢印で示すのはどれか。
1. 粗面小胞体
2. 滑面小胞体
3. ゴルジ装置
4. ミトコンドリア
5. リソゾーム
前へ
解答を見る
次へ