さん
MyPage
ログアウト
使い方ガイド
共通資料
マイページ
金原出版オンライントップ
ログアウト
購入
臨検国試onlineトップへ
ファスト・パス演習トップへ
一覧へ戻る
ファスト・パス演習
ID FP209
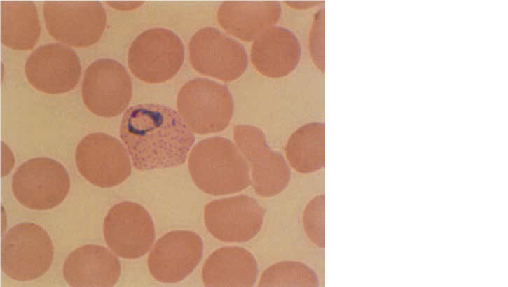
マラリア患者の血液塗抹Giemsa染色標本を別に示す。
考えられるのはどれか。
1. 卵形マラリア原虫の分裂体
2. 三日熱マラリア原虫の栄養体
3. 三日熱マラリア原虫の分裂体
4. 四日熱マラリア原虫の栄養体
5. 熱帯熱マラリア原虫の分裂体
前へ
解答を見る
次へ