さん
MyPage
ログアウト
使い方ガイド
共通資料
マイページ
金原出版オンライントップ
ログアウト
購入
臨検国試onlineトップへ
ファスト・パス演習トップへ
一覧へ戻る
ファスト・パス演習
ID FP234
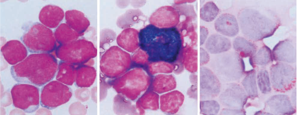
骨髄染色標本を示す。
考えられる診断はどれか。
1. 急性骨髄性白血病
2. 急性リンパ性白血病
3. 慢性骨髄性白血病
4. 慢性リンパ性白血病
5. 成人T細胞白血病
前へ
解答を見る
次へ