ファスト・パス演習

ID FP248  

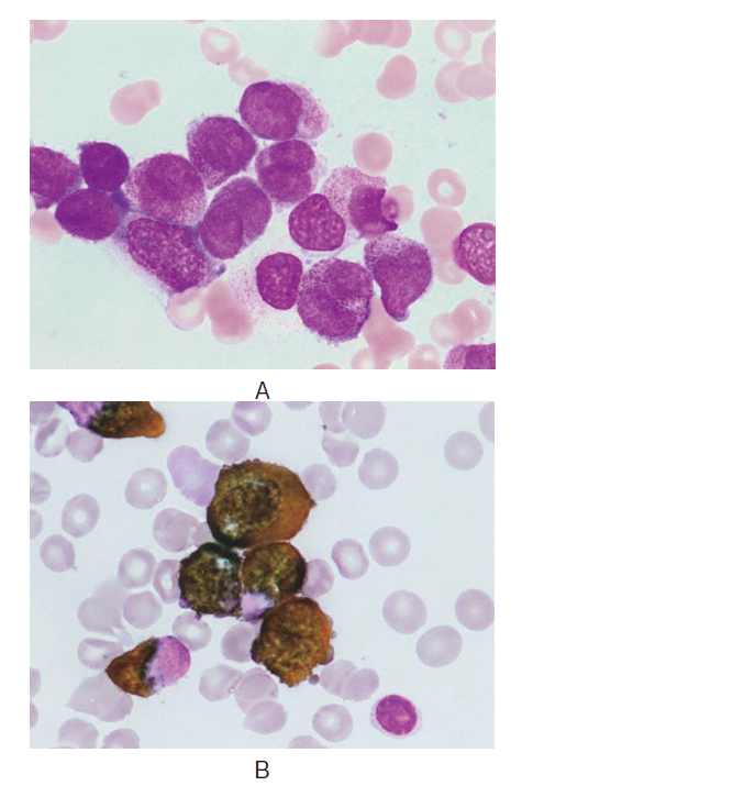
44歳の女性。1週前から下肢に紫斑が出現した。昨日から鼻出血と口腔内血腫とを認めたため来院した。
血液所見:白血球800/μL,Hb8.6g/dL,血小板4.3万/μL。骨髄塗抹のWright-Giemsa染色標本(A)とペルオキシダーゼ〈POX〉染色標本(B)とを示す。
この患者で予想される検査所見はどれか。

  • 1. FDP高値
  • 2. クームス試験陽性
  • 3. 血清フェリチン低下
  • 4. 尿中Bence Jones蛋白陽性
  • 5. 可溶性インターロイキン2受容体高値
Copyright© KANEHARA & Co., LTD. All Rights Reserved.