さん
MyPage
ログアウト
使い方ガイド
共通資料
マイページ
金原出版オンライントップ
ログアウト
購入
臨検国試onlineトップへ
分野別トップへ
一覧へ戻る
臨床血液学
(3.形 態)
ID 2020066
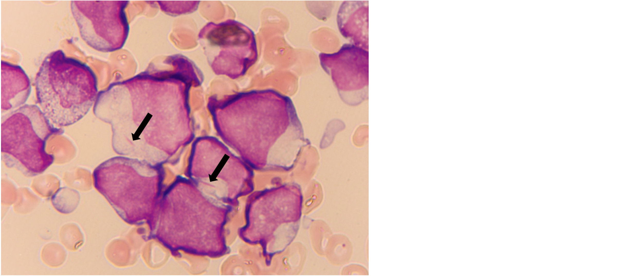
骨髄穿刺液のMay-Giemsa 染色標本を示す。
矢印の封入体のもととなる細胞内成分はどれか。
1. DNA
2. RNA
3. 鉄顆粒
4. 紡錘体
5. アズール顆粒
前へ
解答を見る
次へ