さん
MyPage
ログアウト
使い方ガイド
共通資料
マイページ
金原出版オンライントップ
ログアウト
購入
臨検国試onlineトップへ
分野別トップへ
一覧へ戻る
病理組織細胞学
(1.解剖学総論)
ID 2022148
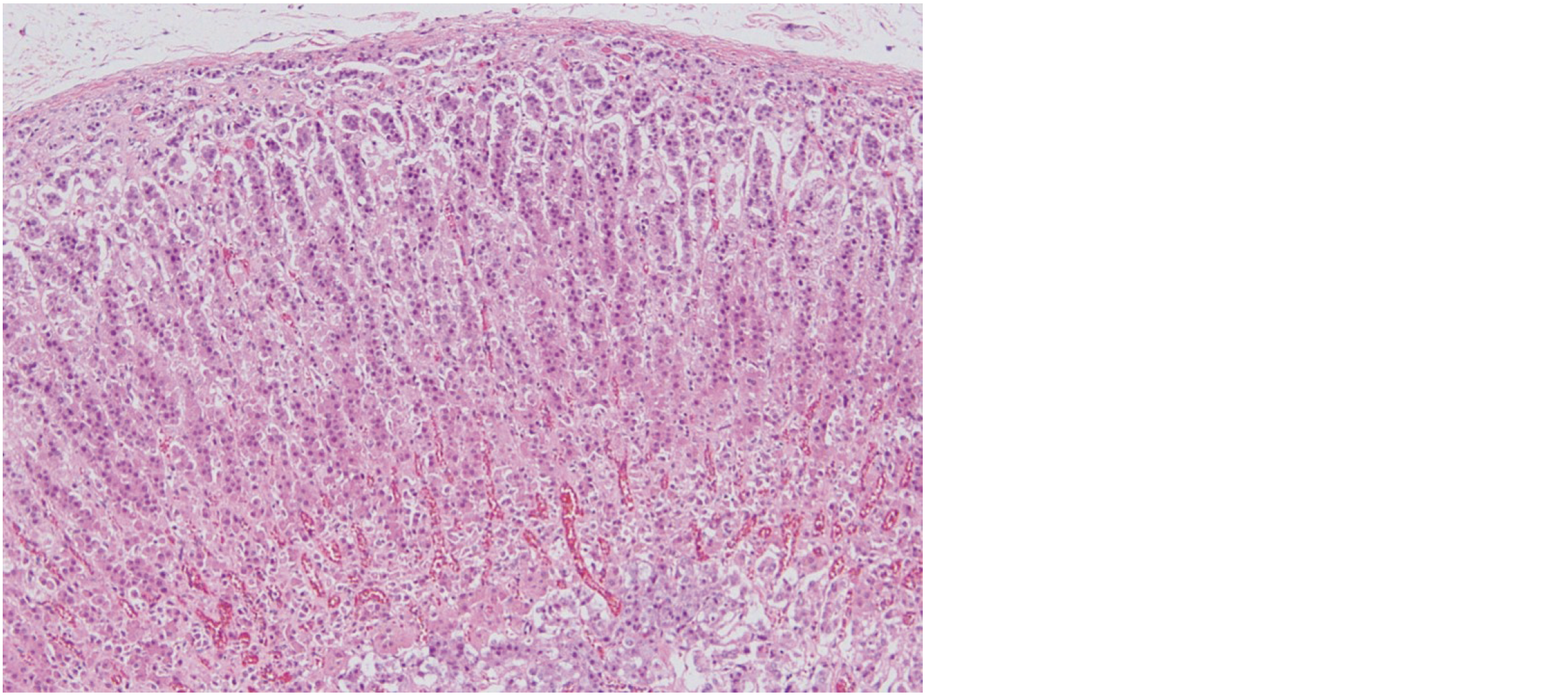
H-E染色標本を示す。
この臓器はどれか。
1. 視床下部
2. 下垂体
3. 副甲状腺
4. 膵 臓
5. 副 腎
前へ
解答を見る
次へ