病理組織細胞学 (3.染 色)

ID 2015152  

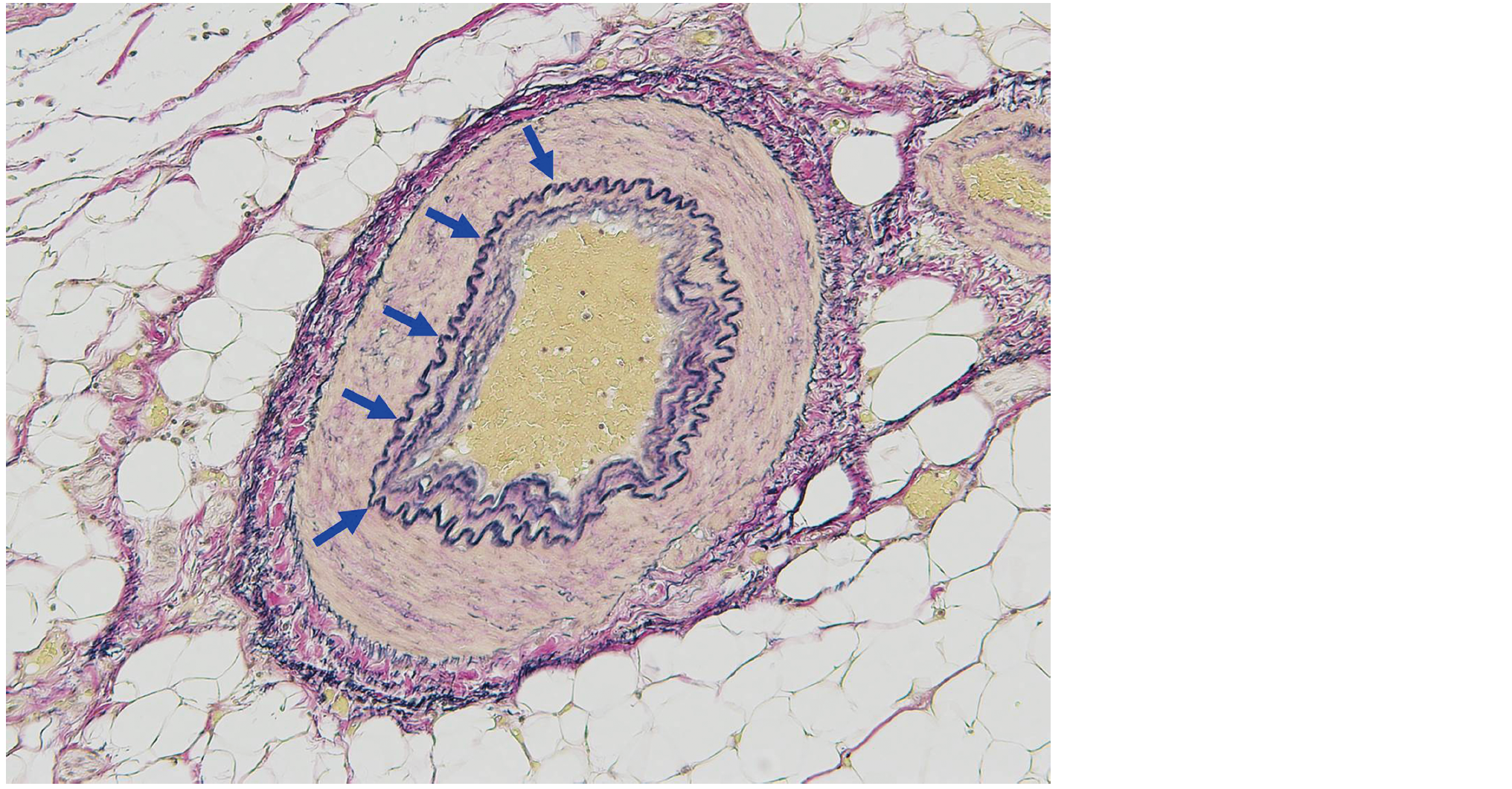
elastica van Gieson染色標本を示す。
矢印部分を染色している色素はどれか。

  • 1. orcein液
  • 2. メセナミン銀液
  • 3. Sudan black B染色液
  • 4. アルデヒド・フクシン液
  • 5. ワイゲルト〈Weigert〉のレゾルシン・フクシン液
Copyright© KANEHARA & Co., LTD. All Rights Reserved.