臨床微生物学 ( 3.グラム陽性球菌・陰性球菌)

ID 2015173  

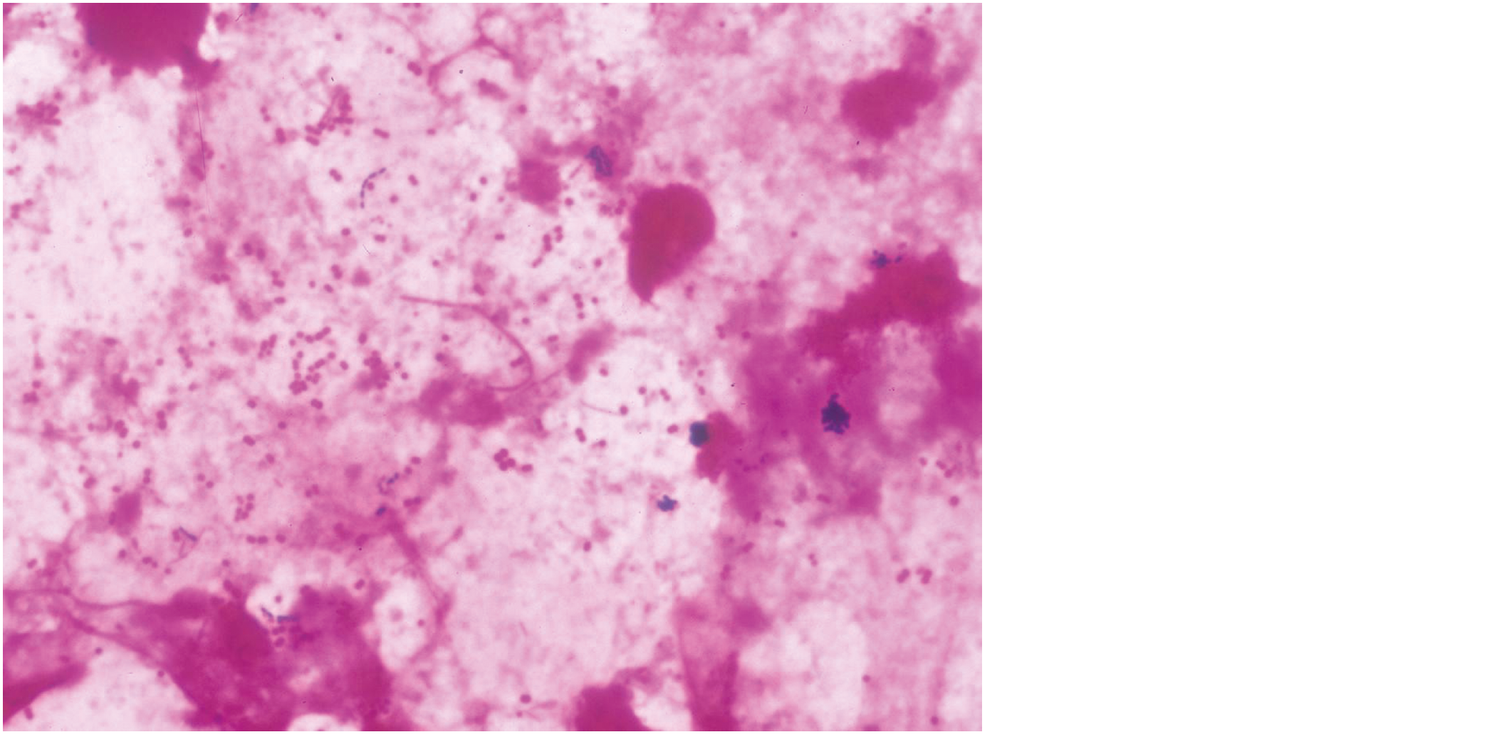
人工呼吸器管理中の入院患者の痰のGram染色標本を示す。
最優勢の細菌について考えられるのはどれか。

  • 1. Acinetobacter baumannii
  • 2. Corynebacterium striatum
  • 3. Neisseria gonorrhoeae
  • 4. Pseudomonas aeruginosa
  • 5. Streptococcus agalactiae
Copyright© KANEHARA & Co., LTD. All Rights Reserved.