さん
MyPage
ログアウト
使い方ガイド
共通資料
マイページ
金原出版オンライントップ
ログアウト
購入
臨検国試onlineトップへ
分野別トップへ
一覧へ戻る
臨床生理学
(3.超音波・画像診断)
ID 2016024
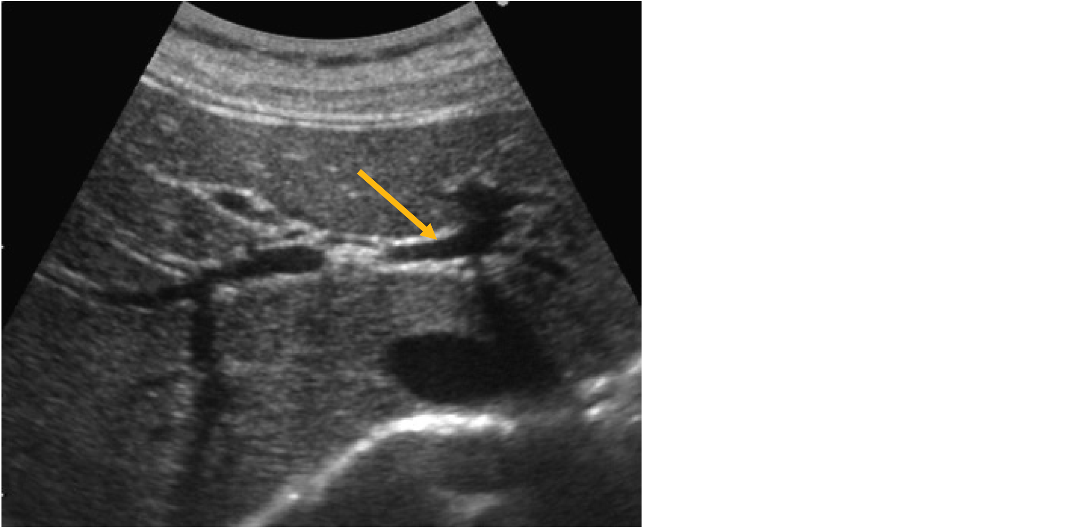
心窩部斜走査による上腹部の超音波像を示す。
矢印で示すのはどれか。
1. 左肝静脈
2. 中肝静脈
3. 右肝静脈
4. 門脈左枝
5. 門脈右枝
前へ
解答を見る
次へ