病理組織細胞学 (1.解剖学総論)

ID 2016046  

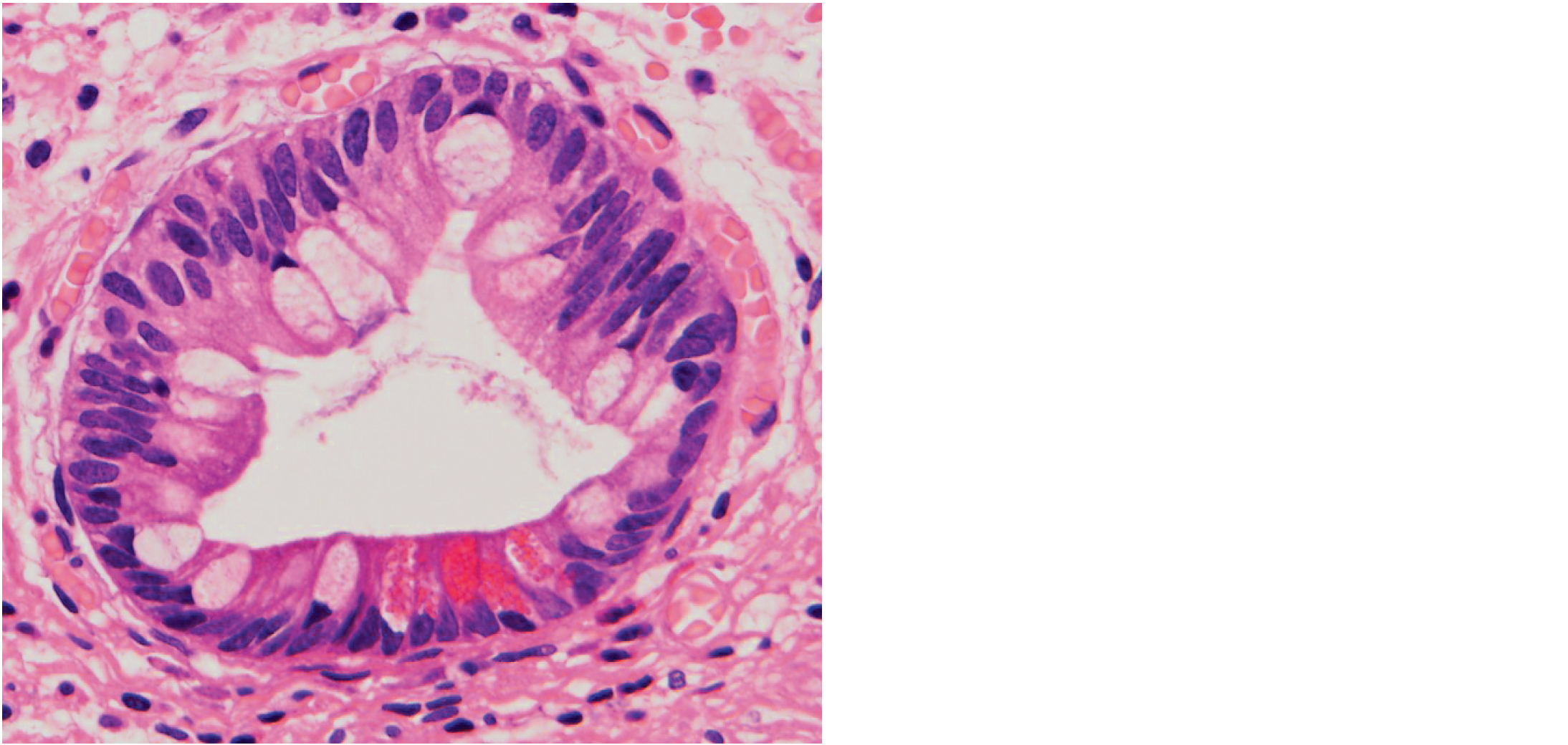
胃組織のH-E染色標本を示す。
みられる変化はどれか。

  • 1. 萎 縮
  • 2. 壊 死
  • 3. 化 生
  • 4. 変 性
  • 5. 過形成
Copyright© KANEHARA & Co., LTD. All Rights Reserved.