さん
MyPage
ログアウト
使い方ガイド
共通資料
マイページ
金原出版オンライントップ
ログアウト
購入
臨検国試onlineトップへ
分野別トップへ
一覧へ戻る
臨床血液学
(3.形 態)
ID 2017065
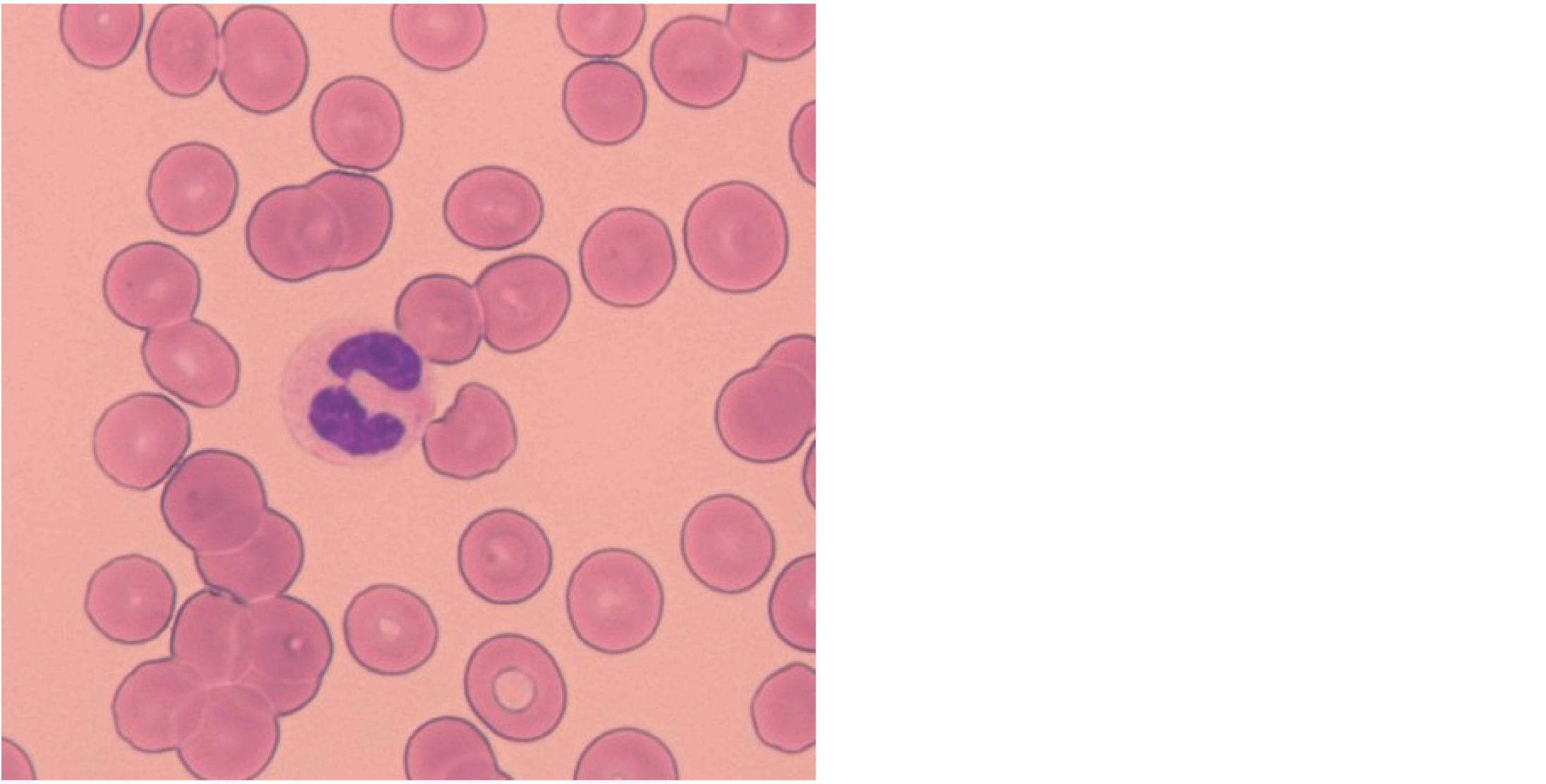
末梢血のWright-Giemsa染色標本を示す。
所見はどれか。
1. Dӧhle小体
2. 中毒性顆粒
3. Russell小体
4. Pelger-Huët異常
5. Chédiak-Higashi異常
前へ
解答を見る
次へ