さん
MyPage
ログアウト
使い方ガイド
共通資料
マイページ
金原出版オンライントップ
ログアウト
購入
臨検国試onlineトップへ
分野別トップへ
一覧へ戻る
臨床微生物学
( 3.グラム陽性球菌・陰性球菌)
ID 2017174
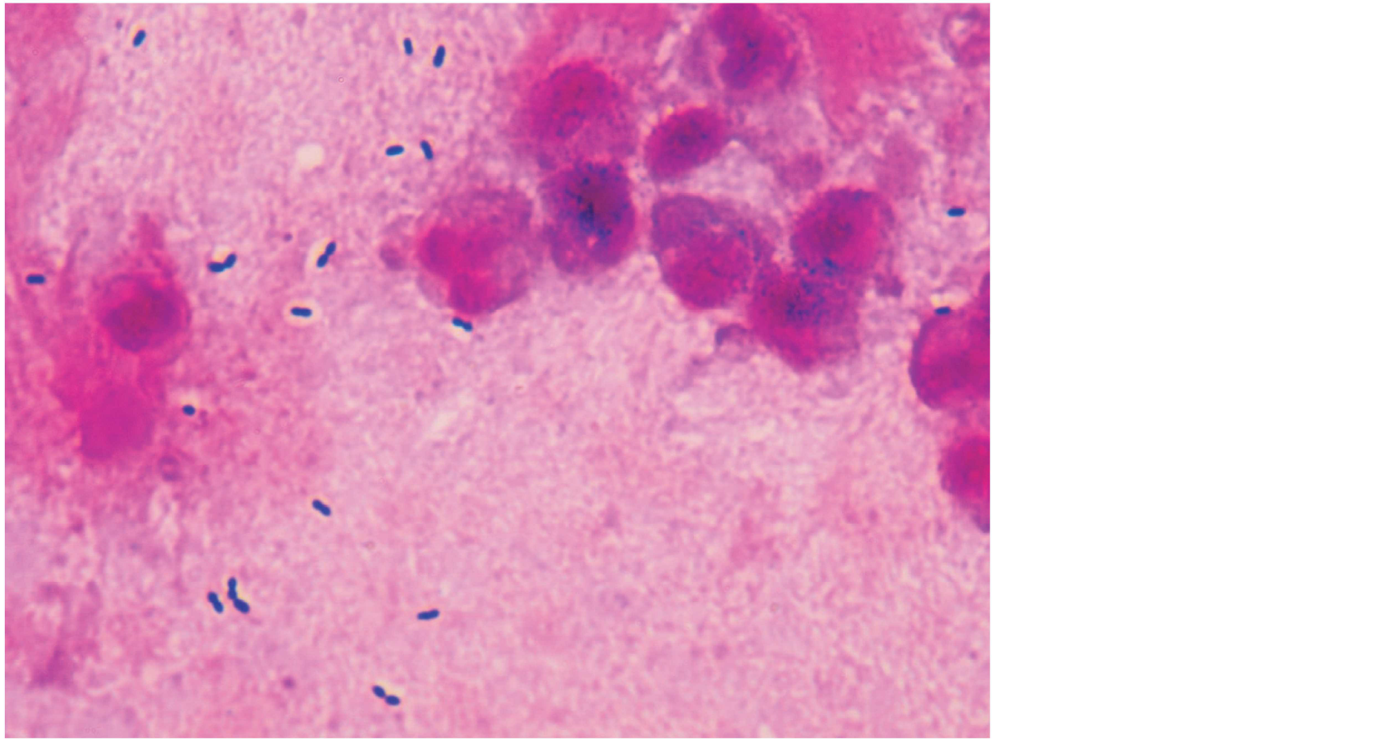
膿性痰のGram染色標本を示す。
推定される菌の鑑別性状で正しいのはどれか。
1. CAMPテスト陽性
2. 胆汁溶解テスト陽性
3. Lancefieldの分類C群
4. 馬尿酸加水分解テスト陽性
5. バシトラシン感受性テスト陽性
前へ
解答を見る
次へ