さん
MyPage
ログアウト
使い方ガイド
共通資料
マイページ
金原出版オンライントップ
ログアウト
購入
臨検国試onlineトップへ
分野別トップへ
一覧へ戻る
病理組織細胞学
(3.染 色)
ID 2018051
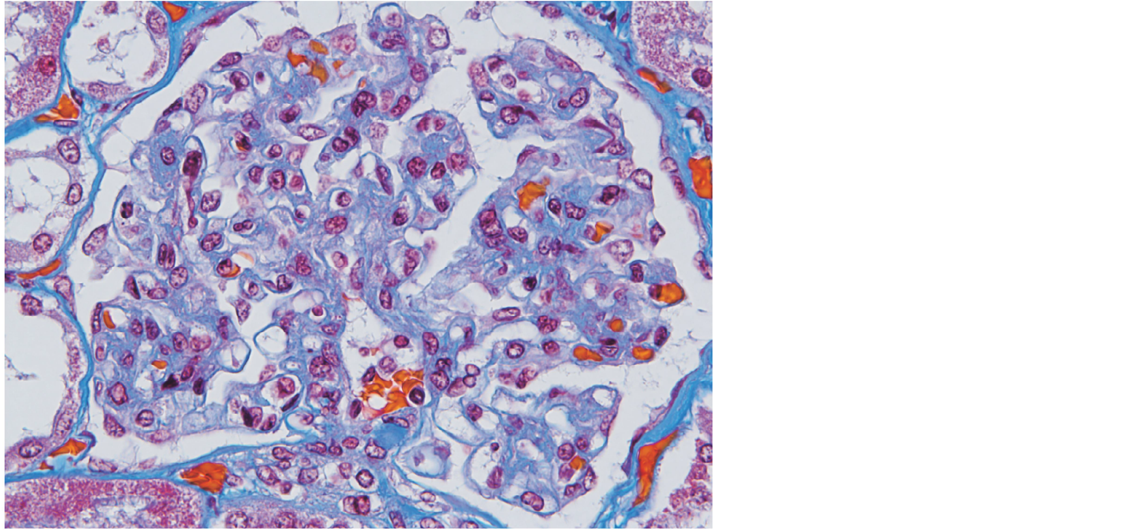
腎臓の特殊染色標本を示す。
染色法はどれか。
1. PAS反応
2. PAM染色
3. PTAH染色
4. toluidine blue染色
5. Masson trichrome 染色
前へ
解答を見る
次へ