さん
MyPage
ログアウト
使い方ガイド
共通資料
マイページ
金原出版オンライントップ
ログアウト
購入
臨検国試onlineトップへ
分野別トップへ
一覧へ戻る
臨床血液学
(6.血液疾患)
ID 2018066
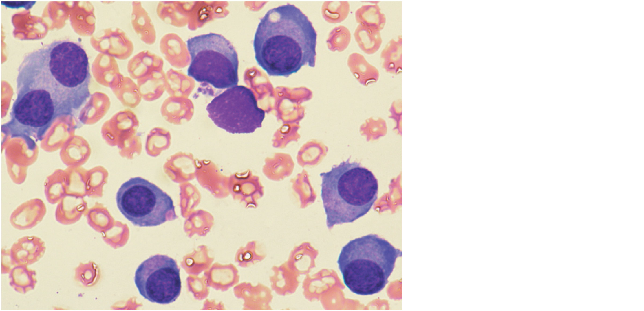
骨髄穿刺液のWright-Giemsa 染色標本を示す。
考えられるのはどれか。
1. 赤白血病
2. 骨髄線維症
3. 多発性骨髄腫
4. 血球貪食症候群
5. ホジキン〈Hodgkin〉リンパ腫
前へ
解答を見る
次へ