さん
MyPage
ログアウト
使い方ガイド
共通資料
マイページ
金原出版オンライントップ
ログアウト
購入
臨検国試onlineトップへ
分野別トップへ
一覧へ戻る
病理組織細胞学
(3.染 色)
ID 2019047
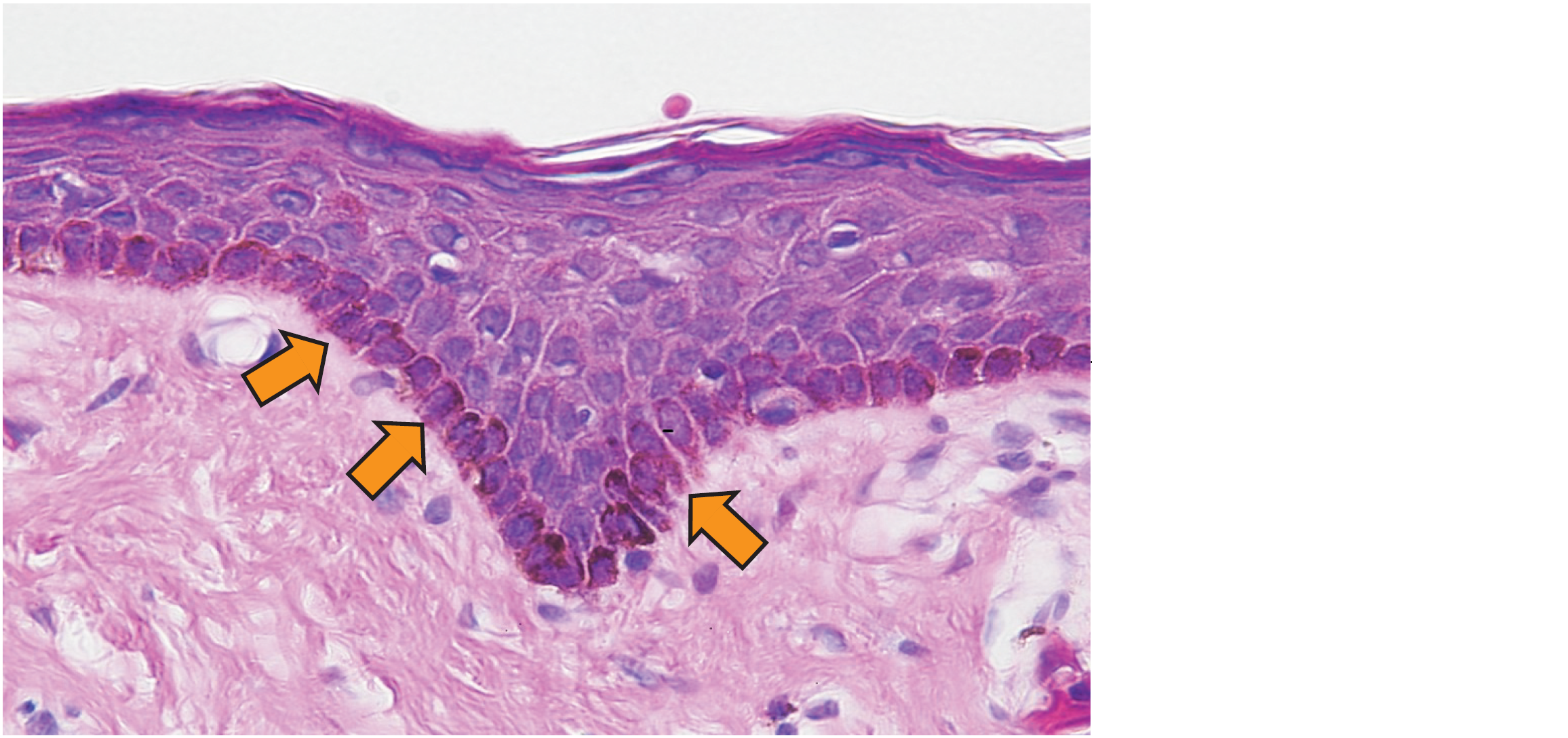
皮膚のH-E 染色標本を示す。
矢印に示す褐色顆粒を染色する染色法はどれか。
2つ選べ
。
1. Kossa反応
2. Sudan Ⅲ染色
3. Schmorl反応
4. Berlin blue染色
5. Masson-Fontana染色
前へ
解答を見る
次へ