さん
MyPage
ログアウト
使い方ガイド
共通資料
マイページ
金原出版オンライントップ
ログアウト
購入
臨検国試onlineトップへ
分野別トップへ
一覧へ戻る
病理組織細胞学
(4.細胞診)
ID 2019049
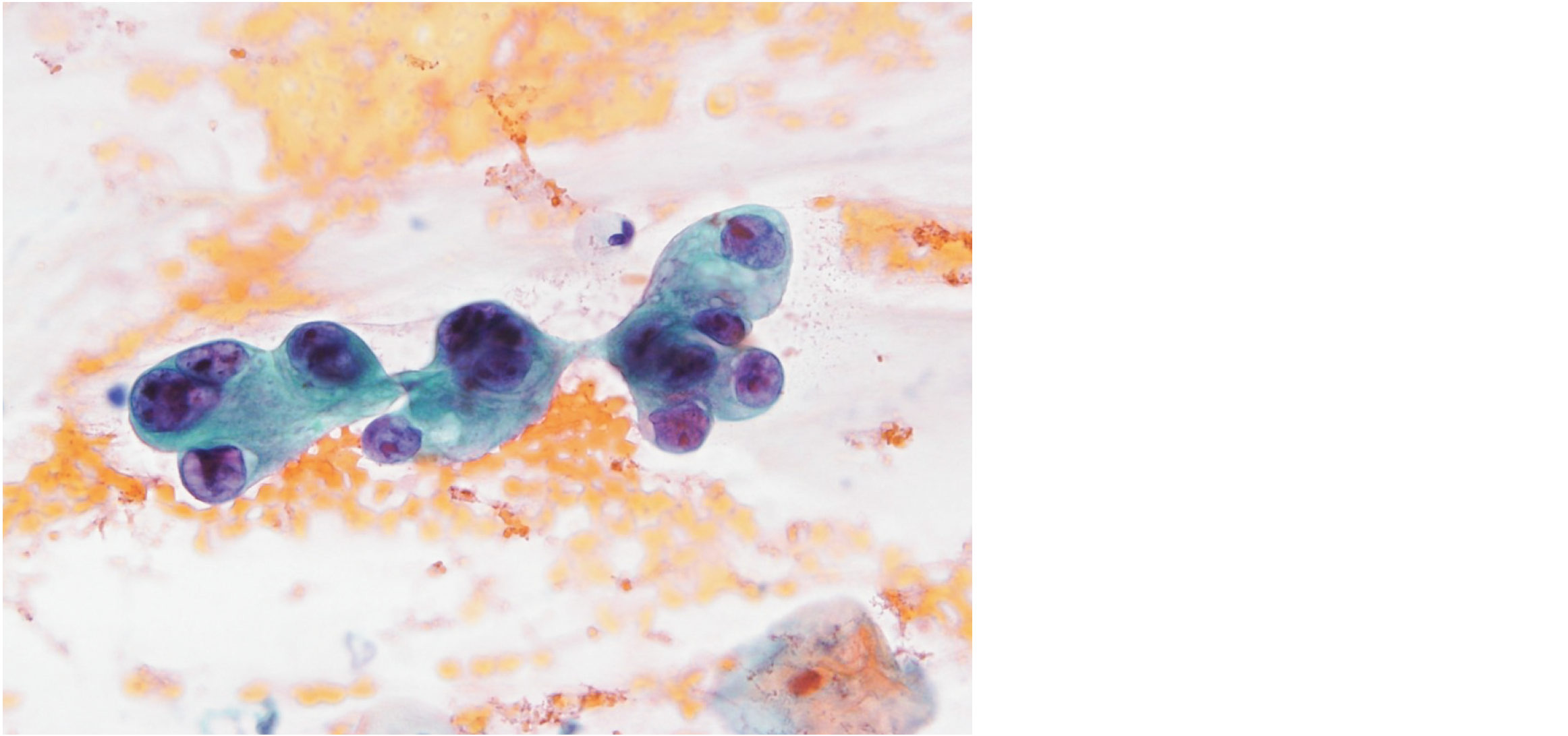
喀痰細胞診のPapanicolaou 染色標本を示す。
考えられるのはどれか。
1. 腺 癌
2. 小細胞癌
3. 扁平上皮癌
4. 悪性リンパ腫
5. カルチノイド
前へ
解答を見る
次へ