さん
MyPage
ログアウト
使い方ガイド
共通資料
マイページ
金原出版オンライントップ
ログアウト
購入
臨検国試onlineトップへ
分野別トップへ
一覧へ戻る
病理組織細胞学
(1.解剖学総論)
ID 2020049
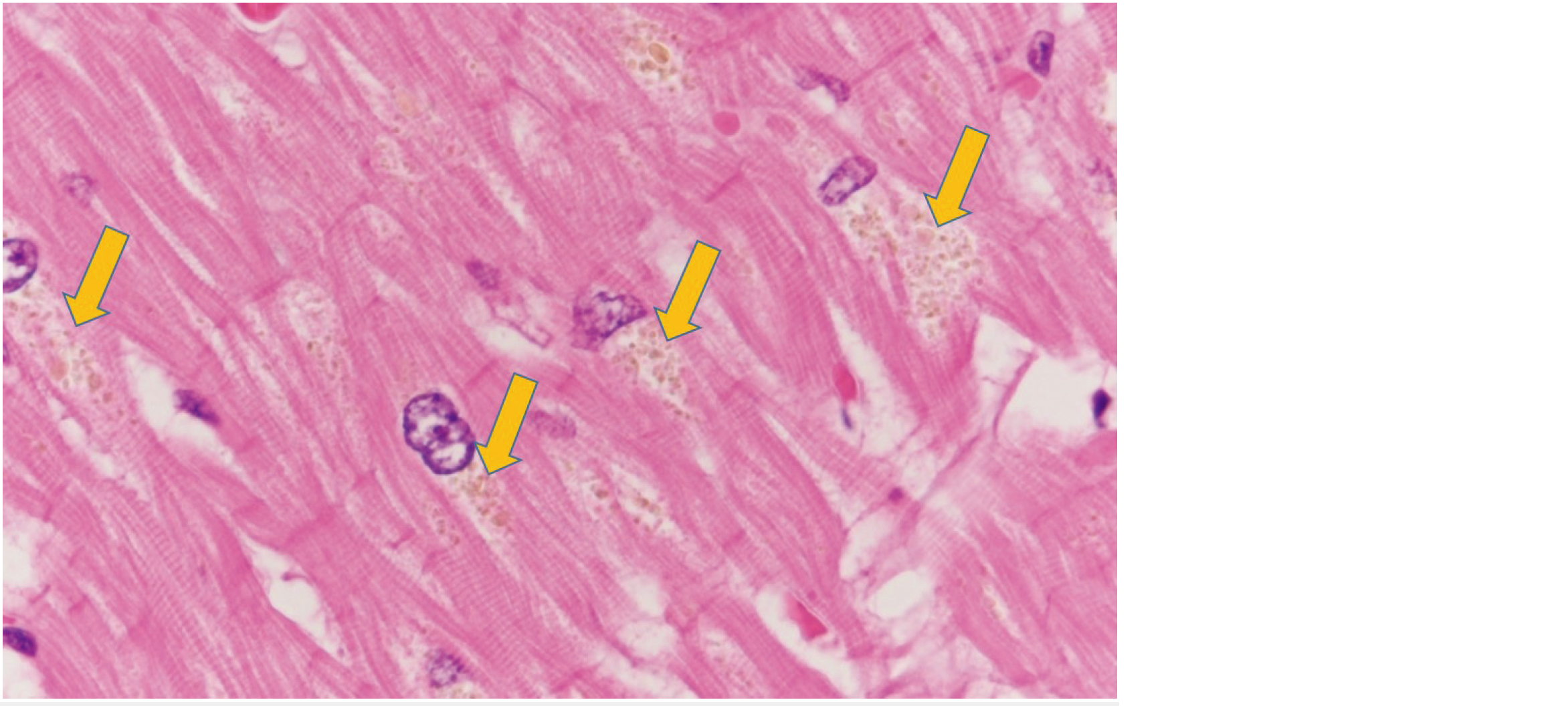
萎縮を示す心臓のH-E 染色標本を示す。
矢印で示すのはどれか。
1. メラニン
2. アミロイド
3. グリコーゲン
4. リポフスチン
5. ホルマリン色素
前へ
解答を見る
次へ