さん
MyPage
ログアウト
使い方ガイド
共通資料
マイページ
金原出版オンライントップ
ログアウト
購入
臨検国試onlineトップへ
分野別トップへ
一覧へ戻る
病理組織細胞学
(1.解剖学総論)
ID 2020148
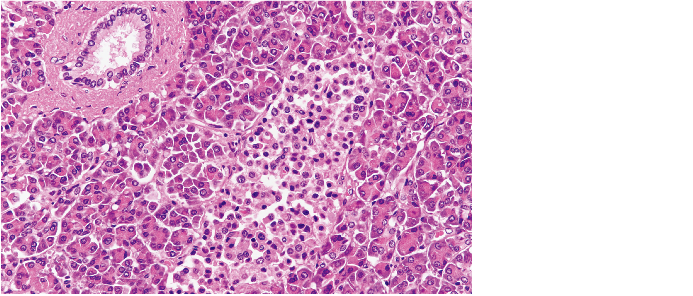
H-E 染色標本を示す。
臓器はどれか。
1. 肝 臓
2. 腎 臓
3. 膵 臓
4. 脾 臓
5. 副 腎
前へ
解答を見る
次へ