臨床生理学 (3.超音波・画像診断)

ID 2021025  

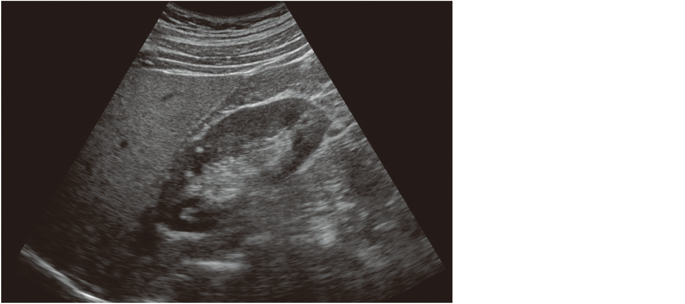
右季肋部縦走査による超音波像を示す。
所見はどれか。

  • 1. 肝表面不整
  • 2. カメレオンサイン
  • 3. ブルズアイサイン
  • 4. モザイクパターン
  • 5. 肝腎コントラストの増強
Copyright© KANEHARA & Co., LTD. All Rights Reserved.