病理組織細胞学 (1.解剖学総論)

ID 2021151  

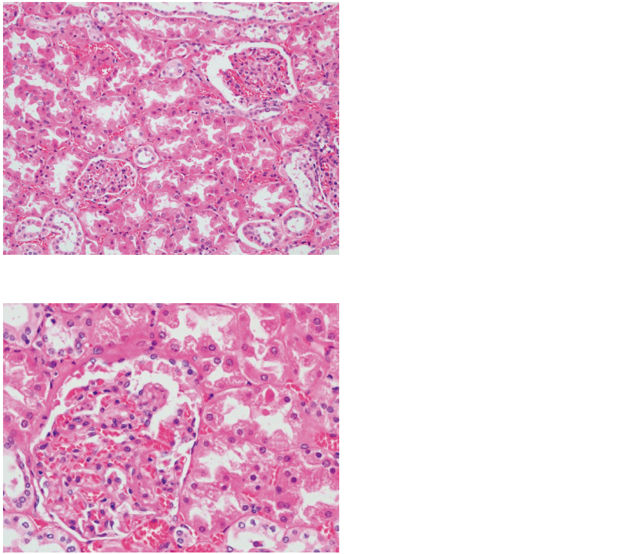
H-E 染色標本を示す。
臓器はどれか。

  • 1. 脳
  • 2. 肝 臓
  • 3. 腎 臓
  • 4. 膵 臓
  • 5. リンパ節
Copyright© KANEHARA & Co., LTD. All Rights Reserved.