さん
MyPage
ログアウト
使い方ガイド
共通資料
マイページ
金原出版オンライントップ
ログアウト
購入
臨検国試onlineトップへ
分野別トップへ
一覧へ戻る
臨床血液学
(6.血液疾患)
ID 2022067
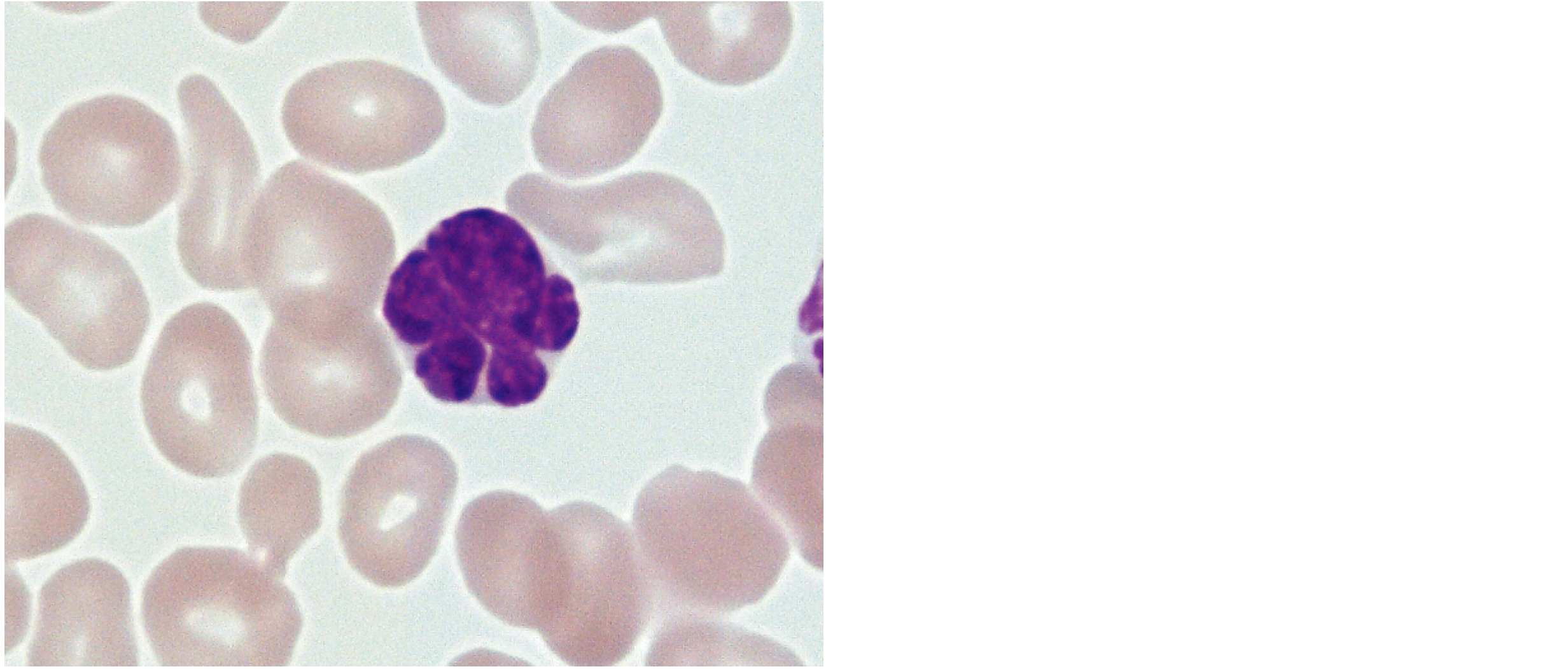
55歳の男性。リンパ節腫大と肝腫大のほか,高カルシウム血症と血清LD高値を認める。末梢血のMay-Giemsa染色標本を示す。
この疾患に関係があるのはどれか。
1.
BCR-ABL1
2.
PML-RARA
3. EBウイルス
4. HTLV-1ウイルス
5. Reed-Sternberg細胞
前へ
解答を見る
次へ