さん
MyPage
ログアウト
使い方ガイド
共通資料
マイページ
金原出版オンライントップ
ログアウト
購入
臨検国試onlineトップへ
分野別トップへ
一覧へ戻る
臨床生理学
(7.その他)
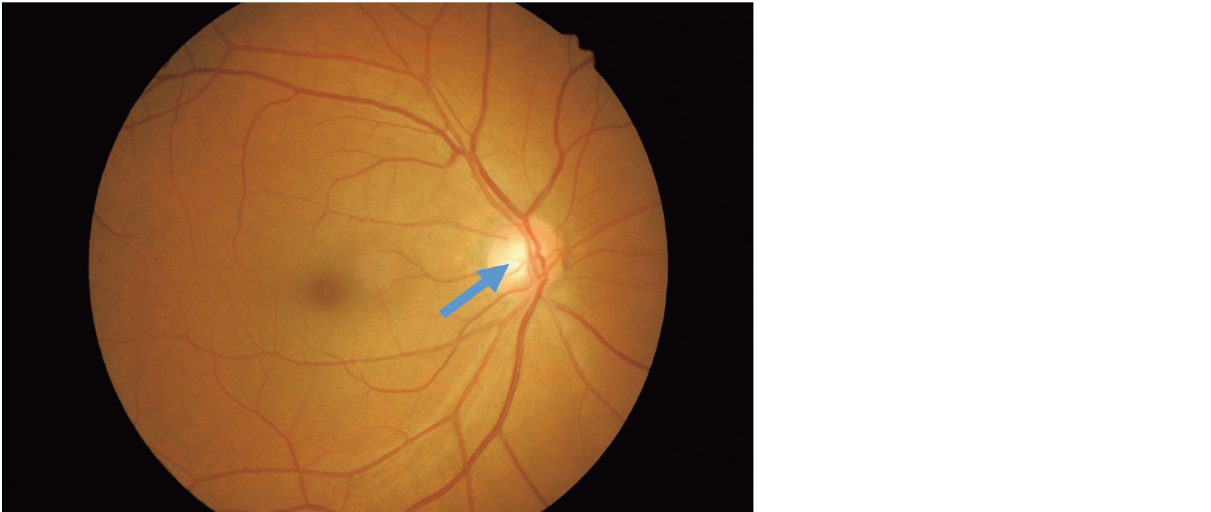
ID 2022128
眼底写真を示す。
矢印で示すのはどれか。
1. 黄 斑
2. 白 斑
3. 水晶体
4. 中心窩
5. 視神経乳頭
前へ
解答を見る
次へ