臨床血液学 (5.各種染色)

ID 2022166  

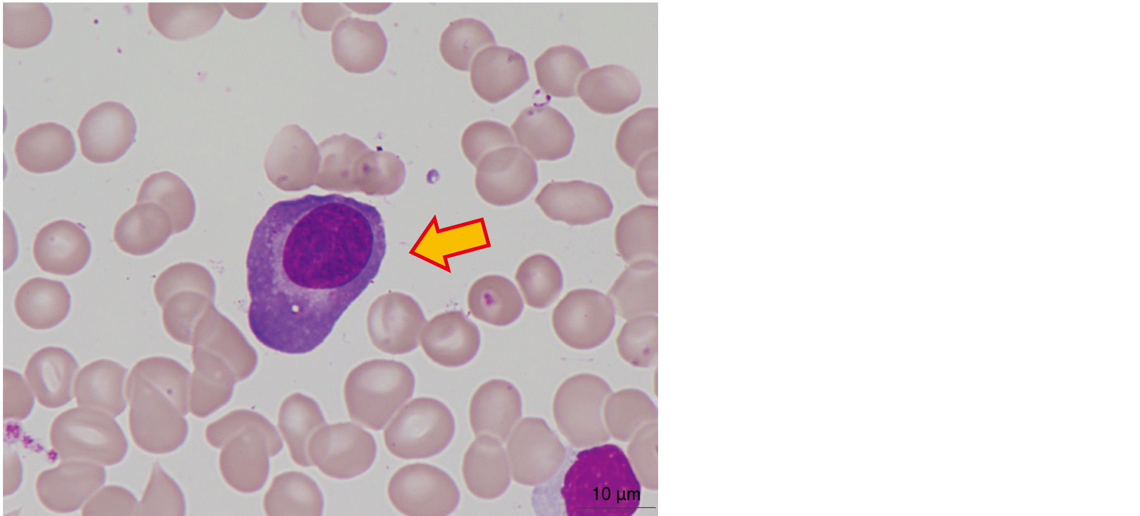
骨髄穿刺液のMay-Giemsa染色標本を示す。
矢印の細胞が腫瘍化した疾患はどれか。

  • 1. 赤白血病
  • 2. 多発性骨髄腫
  • 3. Burkittリンパ腫
  • 4. 急性骨髄性白血病
  • 5. 急性リンパ性白血病
Copyright© KANEHARA & Co., LTD. All Rights Reserved.