さん
MyPage
ログアウト
使い方ガイド
共通資料
マイページ
金原出版オンライントップ
ログアウト
購入
臨検国試onlineトップへ
分野別トップへ
一覧へ戻る
臨床生理学
(3.超音波・画像診断)
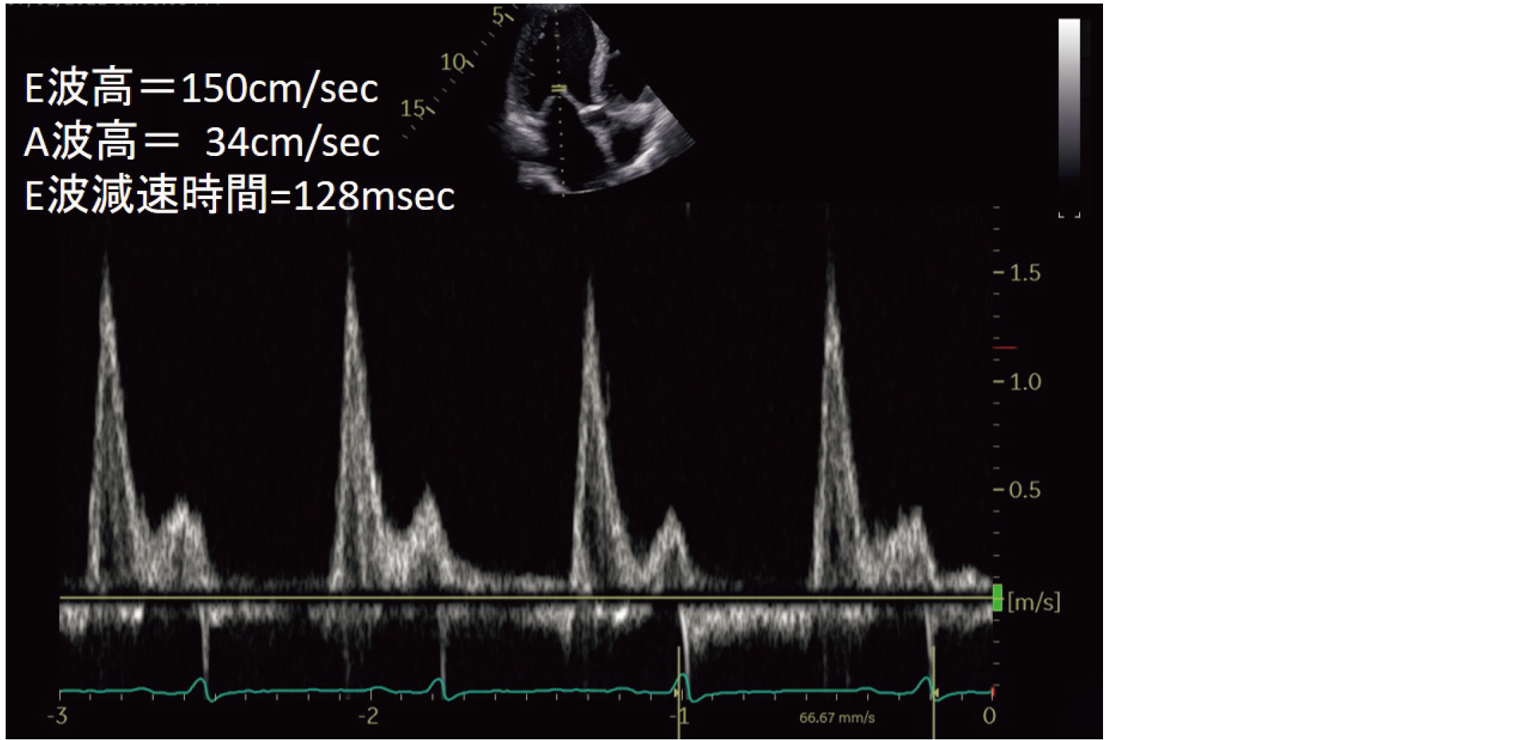
ID 2023024
78歳の男性。心不全患者の左室流入血流速波形と計測値を示す(ID 2023024,ID 2023025共通)。
この波形の記録に用いたのはどれか。
1. 組織ドプラ法
2. カラードプラ法
3. パルスドプラ法
4. パワードプラ法
5. 連続波ドプラ法
前へ
解答を見る
次へ