さん
MyPage
ログアウト
使い方ガイド
共通資料
マイページ
金原出版オンライントップ
ログアウト
購入
臨検国試onlineトップへ
分野別トップへ
一覧へ戻る
病理組織細胞学
(4.細胞診)
ID 2024050
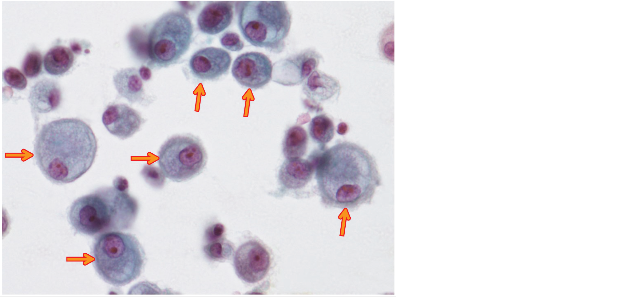
腹水のPapanicolaou染色標本を示す。
矢印で示す細胞はどれか。
1. 組織球
2. 中皮細胞
3. 印環細胞癌
4. 扁平上皮癌
5. 悪性リンパ腫
前へ
解答を見る
次へ