臨床生理学 (3.超音波・画像診断)

ID 2024125  

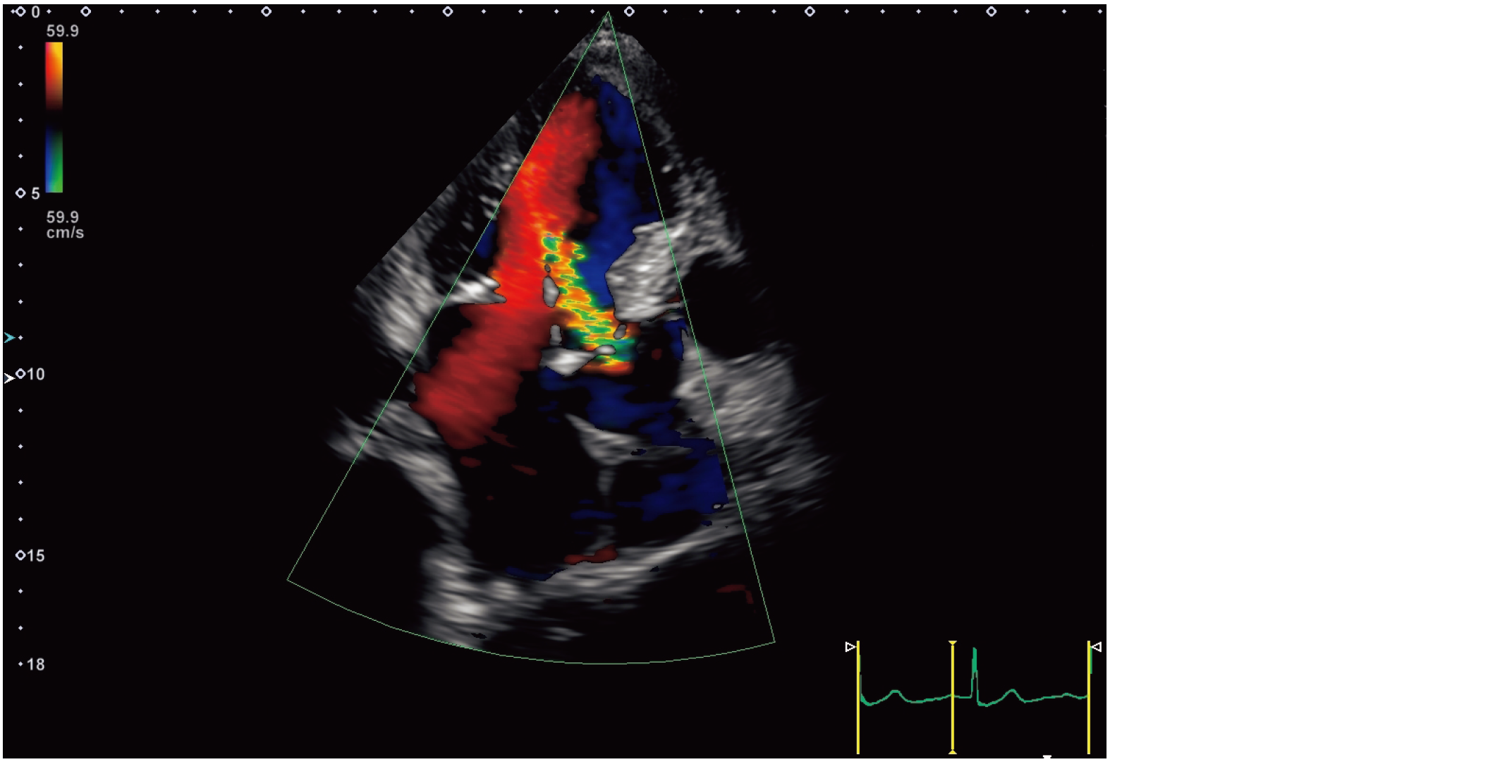
心尖部長軸像のカラードプラ像を示す。
最も考えられるのはどれか。

  • 1. 僧帽弁狭窄症
  • 2. 大動脈弁狭窄症
  • 3. 心室中隔欠損症
  • 4. 僧帽弁閉鎖不全症
  • 5. 大動脈弁閉鎖不全症
Copyright© KANEHARA & Co., LTD. All Rights Reserved.