さん
MyPage
ログアウト
使い方ガイド
共通資料
マイページ
金原出版オンライントップ
ログアウト
購入
臨検国試onlineトップへ
分野別トップへ
一覧へ戻る
臨床生理学
(3.超音波・画像診断)
ID 2024126
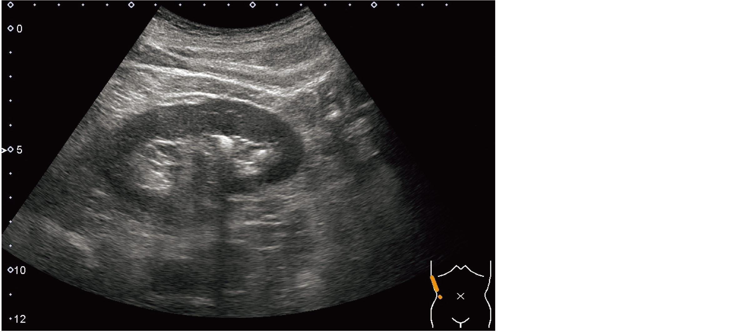
右側腹部超音波像を示す。
最も考えられるのはどれか。
1. 水腎症
2. 腎結石
3. 腎嚢胞
4. 尿管結石
5. 腎細胞癌
前へ
解答を見る
次へ