病理組織細胞学 (1.解剖学総論)

ID 2025050  

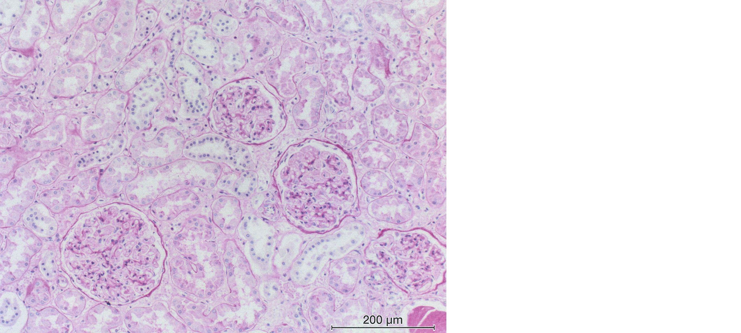
PAS反応標本を示す。
この臓器はどれか。

  • 1. 肝 臓
  • 2. 食 道
  • 3. 腎 臓
  • 4. 大 脳
  • 5. 脾 臓
Copyright© KANEHARA & Co., LTD. All Rights Reserved.