さん
MyPage
ログアウト
使い方ガイド
共通資料
マイページ
金原出版オンライントップ
ログアウト
購入
臨検国試onlineトップへ
出題年別トップへ
一覧へ戻る
2017年(第63回)
ID 2017045
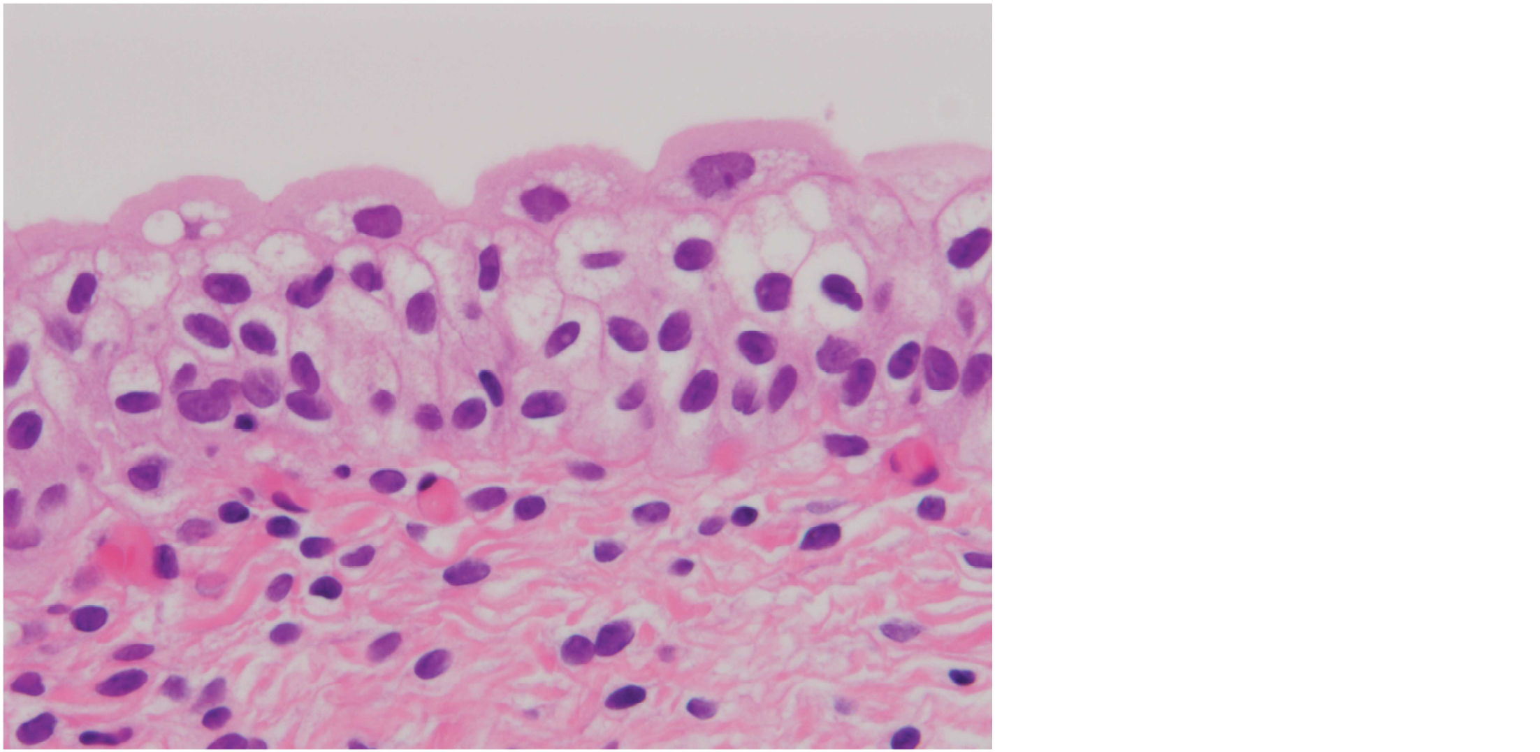
H-E染色標本を示す。臓器はどれか。
1. 気 管
2. 食 道
3. 大 腸
4. 尿 管
5. 甲状腺
前へ
解答を見る
次へ