さん
MyPage
ログアウト
使い方ガイド
共通資料
マイページ
金原出版オンライントップ
ログアウト
購入
臨検国試onlineトップへ
出題年別トップへ
一覧へ戻る
2015年(第61回)
ID 2015073
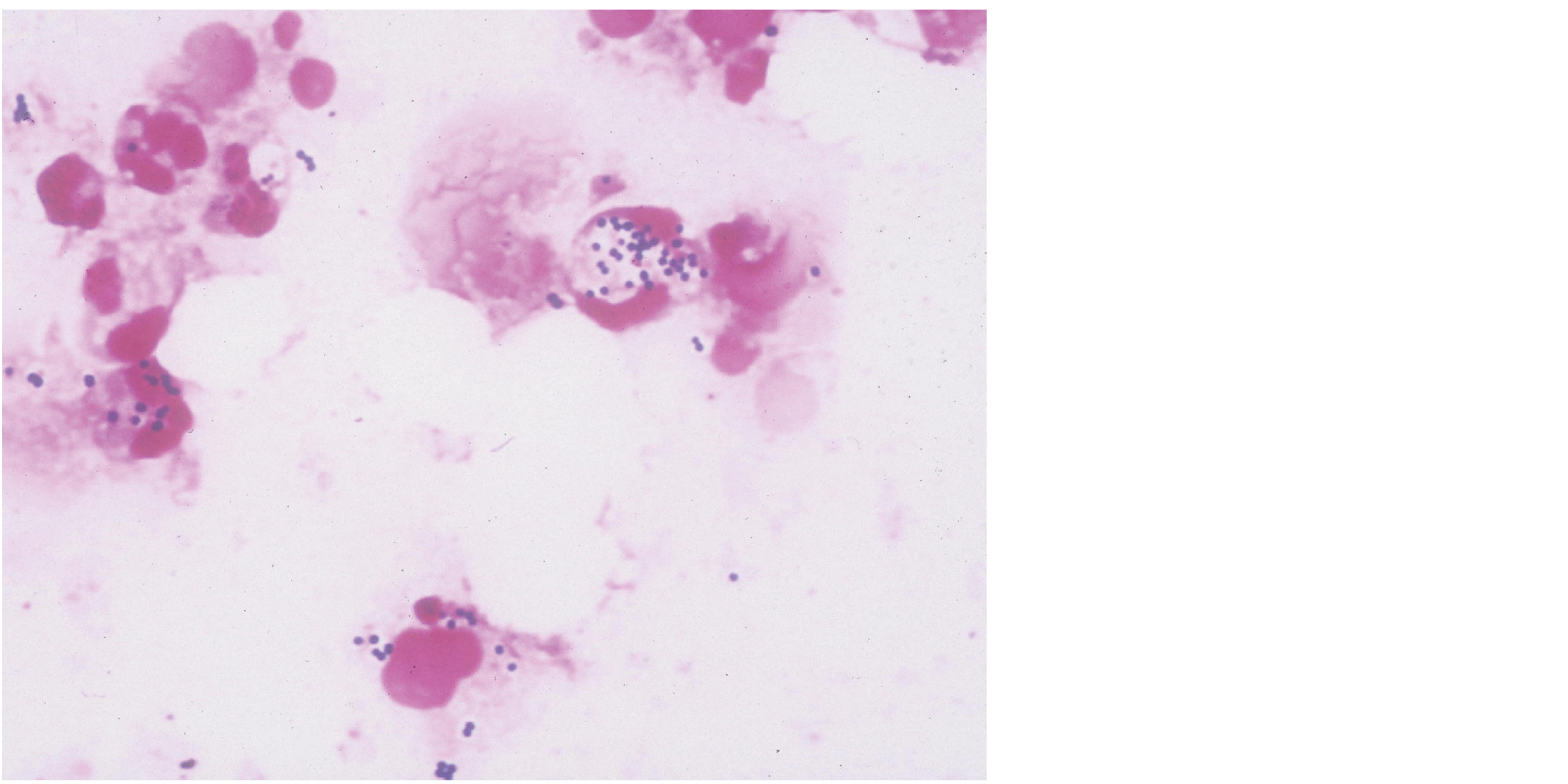
膿のGram染色標本を示す(ID 2015073,ID 2015074共通)。
起因菌と考えられるのはどれか。
1.
Bacillus cereus
2.
Candida parapsilosis
3.
Corynebacterium diphtheriae
4.
Nocardia ateroides
5.
Staphylococcus aureus
前へ
解答を見る
次へ