さん
MyPage
ログアウト
使い方ガイド
共通資料
マイページ
金原出版オンライントップ
ログアウト
購入
臨検国試onlineトップへ
出題年別トップへ
一覧へ戻る
2015年(第61回)
ID 2015074
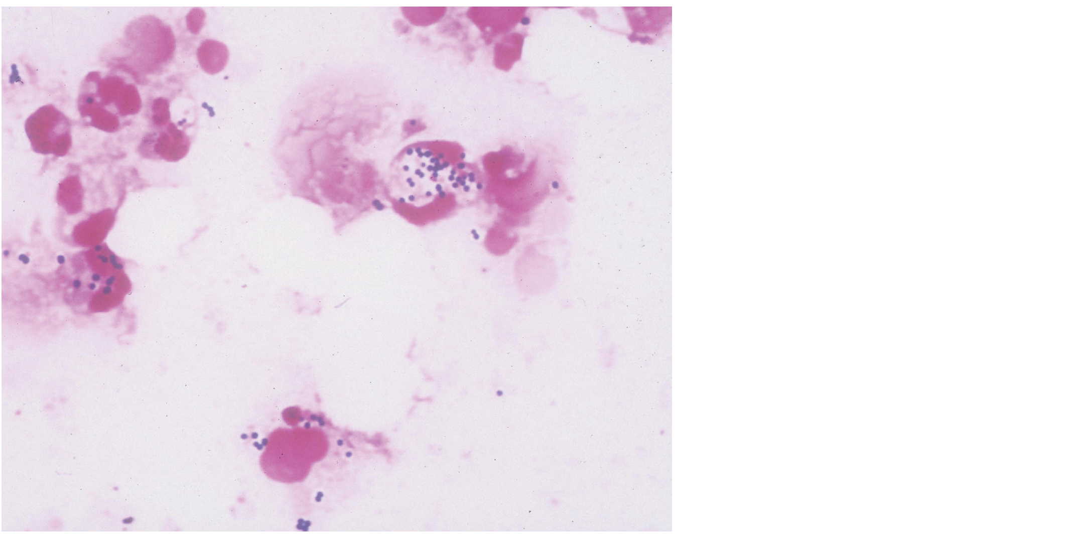
膿のGram染色標本を示す(ID 2015073,ID 2015074共通)。
この起因菌の分離培地はどれか。
1. 小川培地
2. 荒川培地
3. CCFA培地
4. Sabouraud培地
5. マンニット食塩培地
前へ
解答を見る
次へ