さん
MyPage
ログアウト
使い方ガイド
共通資料
マイページ
金原出版オンライントップ
ログアウト
購入
臨検国試onlineトップへ
出題年別トップへ
一覧へ戻る
2015年(第61回)
ID 2015154
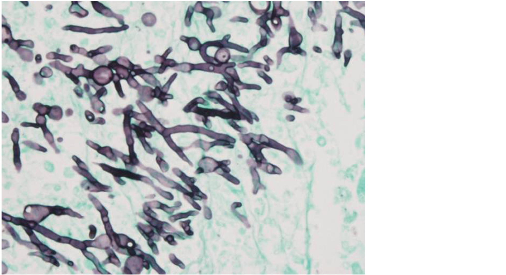
肺病変部の染色標本を示す。
染色法はどれか。
1. Feulgen反応
2. Gram染色
3. Grocott染色
4. mucicarmine染色
5. 渡辺の鍍銀法
前へ
解答を見る
次へ