さん
MyPage
ログアウト
使い方ガイド
共通資料
マイページ
金原出版オンライントップ
ログアウト
購入
臨検国試onlineトップへ
出題年別トップへ
一覧へ戻る
2016年(第62回)
ID 2016007
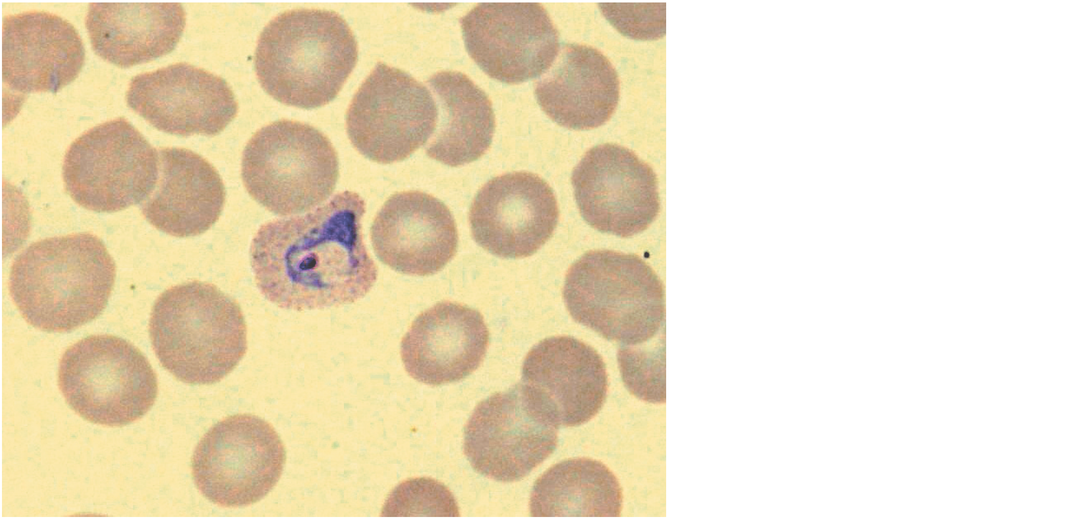
19歳の女性。5日前から1日おきの周期的な発熱を認め渡航者外来を受診した。末梢血のGiemsa染色薄層塗抹標本を示す。
この患者が罹患した感染症はどれか。
1. 熱帯熱マラリア
2. 三日熱マラリア
3. 四日熱マラリア
4. 卵形マラリア
5. サルマラリア
前へ
解答を見る
次へ