さん
MyPage
ログアウト
使い方ガイド
共通資料
マイページ
金原出版オンライントップ
ログアウト
購入
臨検国試onlineトップへ
出題年別トップへ
一覧へ戻る
2016年(第62回)
ID 2016060
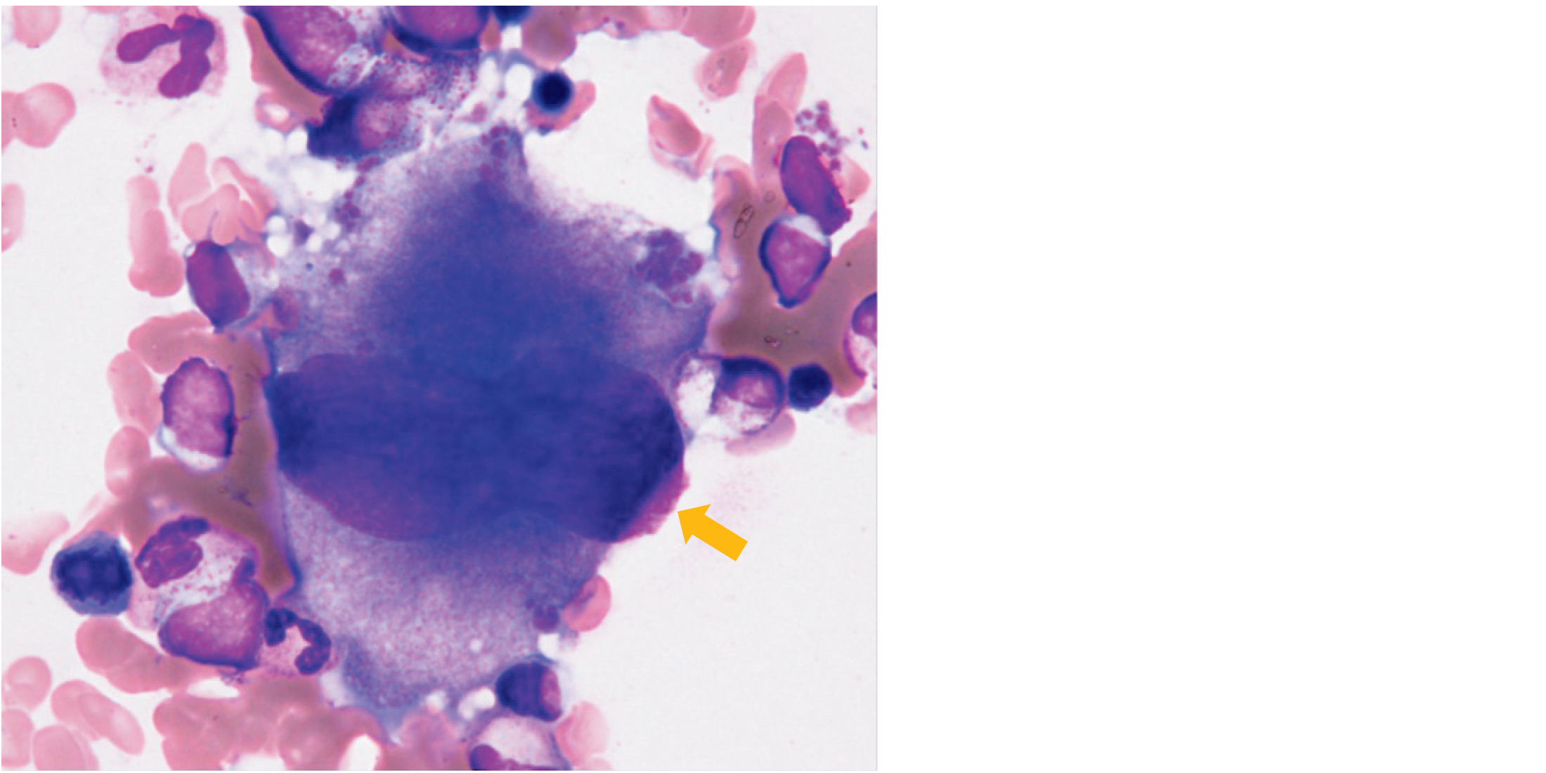
骨髄穿刺液のWright-Giemsa染色標本を示す。
矢印で示す細胞に働く造血因子はどれか。
1. エリスロポエチン〈EPO〉
2. トロンボポエチン〈TPO〉
3. インターロイキン-2〈IL-2〉
4. 顆粒球コロニー刺激因子〈G-CSF〉
5. マクロファージコロニー刺激因子〈M-CSF〉
前へ
解答を見る
次へ