さん
MyPage
ログアウト
使い方ガイド
共通資料
マイページ
金原出版オンライントップ
ログアウト
購入
臨検国試onlineトップへ
出題年別トップへ
一覧へ戻る
2016年(第62回)
ID 2016065
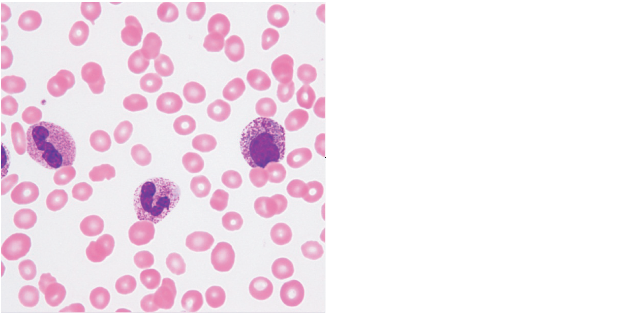
末梢血のWright-Giemsa染色標本を示す。
考えられるのはどれか。
1. 敗血症
2. Gaucher病
3. 骨髄線維症
4. 本態性血小板血症
5. 急性前骨髄球性白血病
前へ
解答を見る
次へ