さん
MyPage
ログアウト
使い方ガイド
共通資料
マイページ
金原出版オンライントップ
ログアウト
購入
臨検国試onlineトップへ
出題年別トップへ
一覧へ戻る
2016年(第62回)
ID 2016122
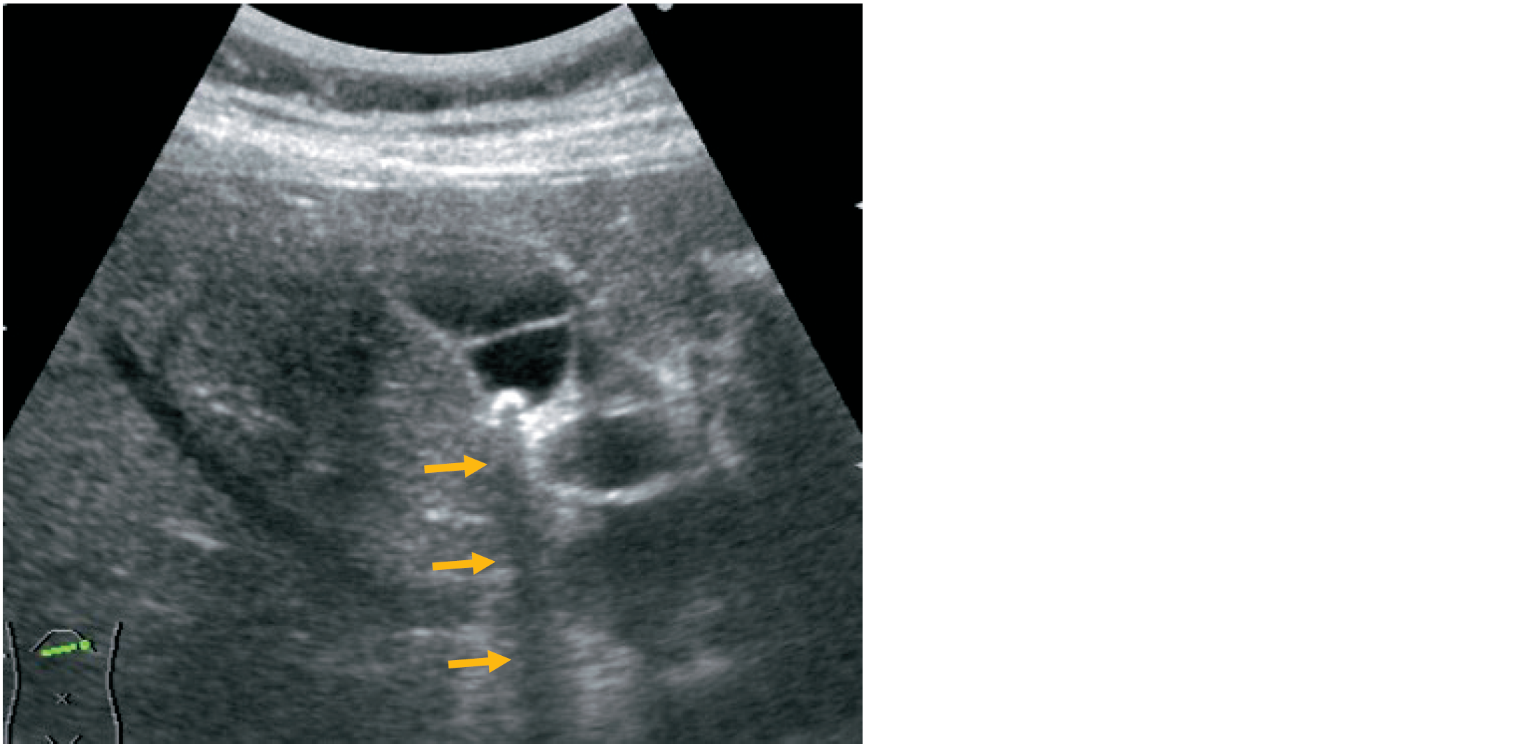
心窩部斜走査による超音波像を示す。
矢印で示すのはどれか。
1. 音響陰影
2. 外側陰影
3. 鏡面現象
4. 多重反射
5. 後方エコー増強
前へ
解答を見る
次へ