2016年(第62回)

ID 2016153  

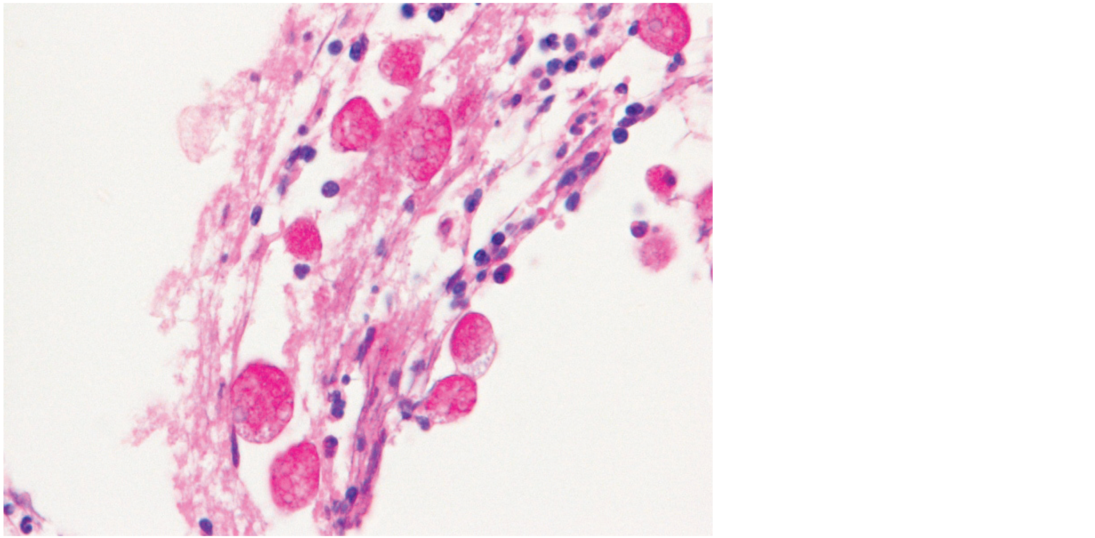
大腸病変部の染色標本を示す。
染色法はどれか。

  • 1. PAS反応
  • 2. Gram染色
  • 3. orcein染色
  • 4. Grocott染色
  • 5. Ziehl-Neelsen染色
Copyright© KANEHARA & Co., LTD. All Rights Reserved.