さん
MyPage
ログアウト
使い方ガイド
共通資料
マイページ
金原出版オンライントップ
ログアウト
購入
臨検国試onlineトップへ
出題年別トップへ
一覧へ戻る
2017年(第63回)
ID 2017127
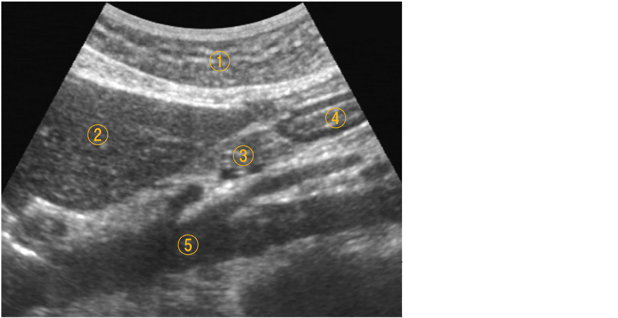
心窩部縦走査による上腹部の超音波像を示す。
番号と臓器・組織の組合せで
誤っている
のはどれか。
1. ①――皮下脂肪
2. ②――肝 臓
3. ③――膵 臓
4. ④――胃
5. ⑤――下大静脈
前へ
解答を見る
次へ