さん
MyPage
ログアウト
使い方ガイド
共通資料
マイページ
金原出版オンライントップ
ログアウト
購入
臨検国試onlineトップへ
出題年別トップへ
一覧へ戻る
2017年(第63回)
ID 2017147
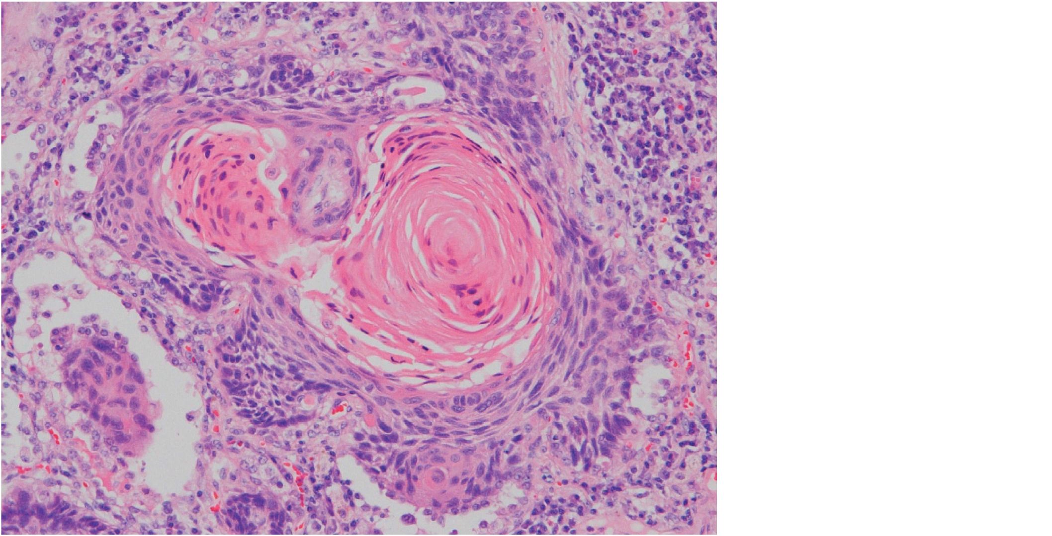
肺腫瘍のH-E染色標本を示す。
組織型はどれか。
1. 腺 癌
2. 小細胞癌
3. 軟骨肉腫
4. 扁平上皮癌
5. 悪性リンパ腫
前へ
解答を見る
次へ