2017年(第63回)

ID 2017153  

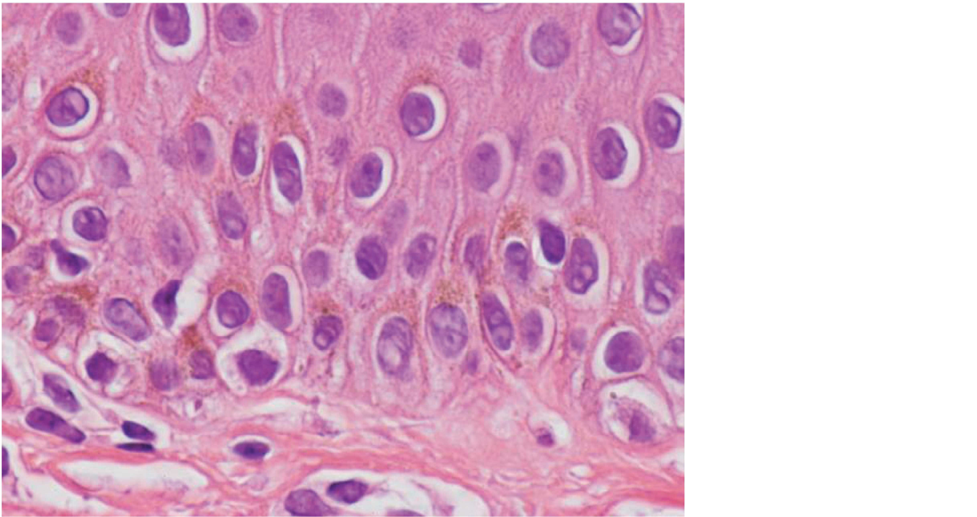
皮膚のH-E染色標本を示す。
組織内の褐色色素を証明する染色法はどれか。

  • 1. PTAH染色
  • 2. Grimelius染色
  • 3. Congo red染色
  • 4. Berlin blue染色
  • 5. Masson-Fontana染色
Copyright© KANEHARA & Co., LTD. All Rights Reserved.